九旬老人不慎骨折,骨科团队精准施治
王奶奶第一次来院,是上个月初。家人在门诊急得满头汗:“医生,我妈早上在家门口摔了一跤,左边胯骨疼得站不起来,她都93岁了,这可怎么办啊?”CT片显示,左侧股骨颈骨折,对于高龄老人来说,这几乎是“人生最后一次骨折”的预警——手术风险高,术后恢复难,主要是因为伤后长时间卧床极易出现褥疮、肺炎、深静脉血栓、尿路感染等并发症。很多家庭会犹豫是否手术。但王奶奶精神头足,向骨科主任路江鸿医生表示“想站起来,不给孩子添麻烦” 。
路主任团队评估其身体状况,虽血糖、血压偏高且心脏有小问题,仍判定高龄不是手术禁忌,制定详细方案,从麻醉剂量到术后镇痛等细节反复推敲,顺利完成左侧人工髋关节置换术。术后10天,王奶奶就能在助行器帮助下挪动,出院时拉着医生衣角致谢。
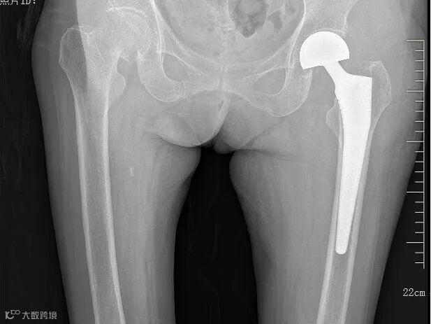
第一次术前影像资料
第一次术后影像资料
出院后第7天,路主任带领骨科医护团队入户随访,检查伤口、教床上肌力训练、叮嘱家人护理要点,还留下手绘康复计划表,这让王奶奶及家人心底认准医院靠谱。
二次跌倒骨折,骨科团队再续信任
意外再次降临,20天后王奶奶在家练习走路时没站稳,右侧股骨颈又摔成了骨折。家人第一时间拨通的,还是骨科的电话。“我们不去别的地方,就去西航院,找路主任他们!”电话里,王奶奶的儿子语气坚定。
二次入院,路主任团队考虑其刚经历手术身体虚弱,调整术中补液方案,细化术后镇痛,手术顺利完成。术后王奶奶在医护的指导下每日按时康复锻炼,顺利出院。
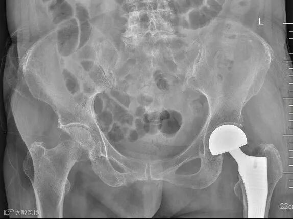
第二术前影像资料
第二术后影像资料
从精准手术到病房守护,再到出院随访,骨科团队在路江鸿主任的带领下以专业打破 “高龄手术禁区” 顾虑,用温度架起医患信任之桥。每一次被患者选择,都是生命的沉重托付,医护们以行动回应,不负这份信任。
供稿:骨科 张静怡
编辑/审阅:党群办
通用环球西安西航医院
微信公众号
通用环球西安西航医院
健康平台
▇长按识别二维码关注我们吧~

