近日,我院呼吸介入团队在有着数十年介入诊疗经验的科室业务主任成佳科带领下,成功为一名体检发现多发肝囊肿的患者实施了CT引导下肝囊肿穿刺聚桂醇硬化治疗术。手术全程严格遵循《多脏器囊肿硬化治疗中国专家共识》规范,患者术后恢复平稳,标志着我院介入技术在跨病种治疗上稳定发挥。
肝囊肿——常见但需警惕的肝脏良性病变
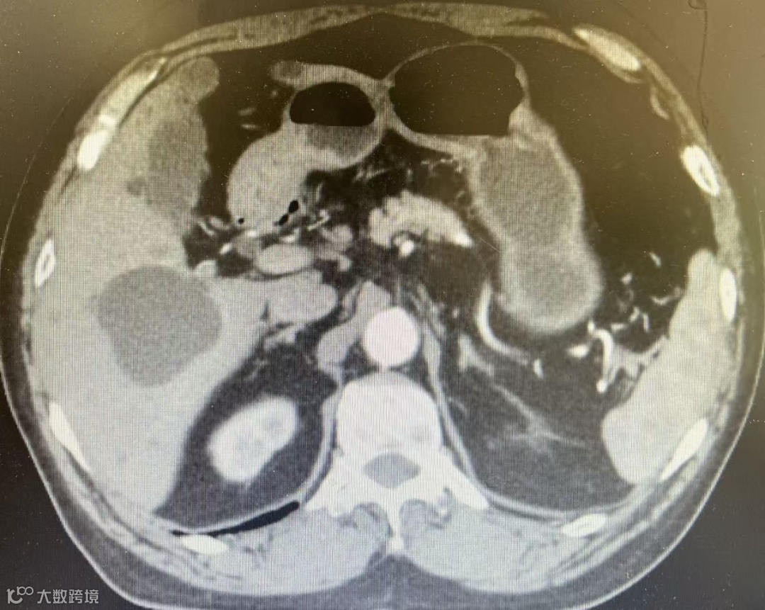
肝囊肿是临床最常见的肝脏良性囊性病变之一,人群患病率约为2.5%~18%,多数为单纯性肝囊肿,囊内为清亮液体,囊壁薄且均匀。
对于直径<5cm、无任何症状的单纯性肝囊肿,仅需每6~12个月定期复查腹部超声即可。但根据《多脏器囊肿硬化治疗中国专家共识(2021版)》,当囊肿直径≥5cm、出现腹胀、腹痛等压迫症状,或囊肿合并感染、出血、破裂风险时,需及时进行临床干预。
需要注意的是,复杂性囊肿需结合超声造影、CT、MRI及肿瘤标志物,必要时穿刺活检以排除恶性病变。
聚桂醇硬化治疗——指南推荐的微创之选
《多脏器囊肿硬化治疗中国专家共识》明确指出,影像引导下穿刺抽吸联合硬化剂注射是肝囊肿的首选治疗方式,其中聚桂醇是目前临床应用最广泛的硬化剂之一。
聚桂醇通过化学作用破坏囊壁内皮细胞,使其变性、坏死并失去分泌功能,最终引发无菌性炎症,使囊腔粘连、闭合并逐步吸收。
数十年经验护航
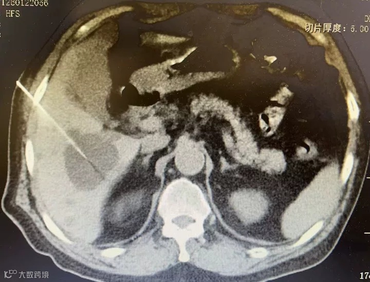
术前,科室团队结合患者影像资料进行了细致评估,精准规划了穿刺路径。术中在CT实时引导下,穿刺针准确抵达目标位置,成功抽吸囊液并完成冲洗。随后,经造影确认位置无误后,注入硬化剂并保留。术后复查显示囊肿已基本消失,手术取得预期效果。整个流程平稳有序,以微创方式为患者解除了病痛。
CT引导下硬化治疗
相较于传统的开腹或腹腔镜囊肿开窗术,CT引导下聚桂醇硬化治疗有着显著的临床优势。
在创伤方面,它仅需1mm左右的穿刺点,无切口、无疤痕,而传统外科手术需3~5cm手术切口或多个腔镜穿刺孔,创伤较大。
麻醉上,该术式采用局部麻醉,患者全程清醒,无全麻风险,而传统手术需要全身麻醉,对心肺功能要求较高。
手术时长上,该术式仅需30~40分钟,术后恢复上,接受该术式的患者观察24小时即可,总住院时间2~4天,而传统手术患者术后需住院较长,恢复期长达1~3个月。
在适用人群上,它尤其适合年老体弱、心肺功能差、不耐受全麻及手术的患者,而传统手术仅适用于身体条件较好、能耐受全麻的患者。
供稿:呼吸与危重症医学科 杨延斌
编辑/审阅:党群办
通用环球西安西航医院
微信公众号
通用环球西安西航医院
健康平台
▇长按识别二维码关注我们吧~

