作者:石 艳 彭 昊 李 珣 李 军 李常挺 白慧丽 马春霞 廖玉英
在畜禽养殖生产中,抗生素等抗菌药物在预防疾病、治疗疾病以及促进动物生长中都发挥着极其重要的作用[1]。但近年来,抗生素的滥用导致了其残留于肉产品或者粪污之中,最终通过食物链传播,从而影响人类的健康[2]。我国农业农村部于2020年7月发布194号公告,要求在饲料中全面禁止添加促生长类抗生素[3]。因此,亟需寻找代替抗生素的新型抗菌药物以预防或治疗动物疾病。此外,遵循科学、绿色养殖是畜禽养殖业可持续发展的重要一步。益生菌作为“有助于肠道微生物平衡的生物体和物质”的新型微生物制剂[4-5],可以通过调节免疫系统、限制病原体定植、控制炎症性肠道疾病和代谢性疾病来影响免疫系统[6]。在预防或治疗动物疾病等方面可作为抗菌药物的良好代替品。
布氏乳杆菌(Lentilactobacillus buchneri)是一种自然存在于不同生态环境中的益生菌,通常与食品生产和发酵过程有关[7]。其具有独特的代谢途径,在厌氧和酸性条件下可将乳酸转化为乙酸和1,2-丙二醇,有助于维持细胞活力[8]。这些特性使得布氏乳杆菌在许多农场中成为一种有用的发酵剂,此外,布氏乳杆菌还可以防止霉菌和酵母引起的需氧变质[9-12]。目前关于布氏乳杆菌的报道,多数都是在研究布氏乳杆菌发酵青贮饲料,而布氏乳杆菌益生特性及安全性研究鲜有报道。因此,本研究通过测定体外抑菌能力、生长曲线、产酸能力、耐酸、耐高温及耐胆盐等试验评估其益生特性,通过小鼠安全性试验以评估其生物安全性,以期为未来布氏乳杆菌在畜禽养殖业中的应用奠定基础。
1
材料与方法
1.1 主要试验材料
1.1.1 试验菌株来源与试验动物
布氏乳杆菌GXNN20210328-6(以下简称GX0328-6),分离于广西地区传统发酵食品酸菜中并保种于广西兽医研究所。4周龄C57BL/6小鼠20只,无特定病原体(SPF)级,体重(15±2) g,购于长沙市天勤生物技术有限公司,自由采食和饮水。
1.1.2 指示菌及试验试剂
大肠杆菌标准株(ATCC25922)及金黄色葡萄球菌标准株(ATCC6583),购于中国兽医微生物菌种保藏管理中心;鼠伤寒沙门氏菌(SM022),由美国杜克大学分子遗传学和微生物学实验室惠赠。培养基(MRS、LB、MH)及肉汤(MRS、LB),均购于北京陆桥技术股份有限公司;PBS缓冲液,购于南京森贝伽生物科技有限公司;4%多聚甲醛,购自北京兰杰柯科技有限公司;细菌基因组DNA提取试剂盒,购于北京康为世纪生物科技有限公司。
1.1.3 仪器设备
电热恒温培养箱,购自上海浦东荣丰科学仪器有限公司;2.5 L厌氧产气包,购自青岛海博生物技术有限公司;可见分光光度计,购自上海棱光技术有限公司;pH计购自上海Methler toledo仪器有限公司;正置光学显微镜购自尼康映像仪器销售有限公司。
1.2 试验方法
1.2.1 试验菌株的培养方法
取已分离纯化后的GX0328-6按5%接种量接种至含有MRS肉汤的15 mL无菌试管中,将已接种的菌悬液放入2.5 mL的厌氧产气包中,于37 ℃下培养24 h。
1.2.2 体外抑菌试验
无菌条件下三种指示菌悬液分别取200 μL涂布于MH固体培养基上,将牛津杯置于已接种指示菌的MH固体培养基内,取200 μL GX0328-6菌悬液放入牛津杯内,4 ℃ 冰箱过夜。待菌悬液充分扩散后,于37 ℃ 下培养24 h。用游标卡尺测量抑菌圈直径,进行3次平行试验,最终求3次试验的平均值。
1.2.3 生长曲线及产酸能力测定
参照谢曈等[13]的益生菌产酸能力测定方法,取5 mL已纯化的GX0328-6菌悬液于45 mL的MRS肉汤中,37 ℃、160 r/min条件下培养,分别在0、4、8、12、16、20、24、28 h取样以评价其产酸能力及菌体生长繁殖能力。
1.2.4 耐酸试验
取200 μL纯化的GX0328-6菌悬液接种至10 mL MRS肉汤中,37 ℃静置培养至对数期。将菌体悬浮于等体积、pH分别为2.0、2.5、3.0、3.5、7.4的MRS肉汤中,37 ℃培养,分别于0、2、4、6 h取样,取100 μL GX0328-6菌悬液均匀涂布于MRS固体培养基上,37 ℃ 培养,24 h后活菌计数。
1.2.5 耐高温试验
前处理方法同1.2.4,将菌体悬浮于等体积的MRS中,于37、40、50、60、70、80 ℃分别培养0、30、60、90 min后取样检测。
1.2.6 耐胆盐试验
前期处理方法同1.2.5,将菌体悬浮于等体积、猪胆盐浓度为0、0.1%、0.3%、0.5%、1.0%、1.5%的PBS中,37 ℃恒温振荡器培养,于0、2、4、6 h分别取样检测。以0 h的活菌数为对照。
存活率(%)=A2/A1×100
式中:A1——在不同胆盐浓度的PBS缓冲液中培养0 h的活菌数(CFU/mL);
A2——在不同胆盐浓度的PBS溶液中培养2、4、6 h的活菌数(CFU/mL)。
1.2.7 小鼠安全性试验
20只小鼠适应环境7 d后随机分为两组,对照组(CON组):每只小鼠灌胃0.2 mL生理盐水,试验组(LB组):每只灌胃0.2 mL浓度为1×109 CFU/mL的GX0328-6活菌液,持续10 d[14]。自由采食和饮水。每隔2 d于灌胃前记录小鼠体重、毛色、整体精神状态及粪便形态。10 d后,安乐死小鼠并取其胸腺、脾脏称重,计算免疫器官指数;采集肝脏、空肠及结肠组织放于4%多聚甲醛中固定,石蜡切片制作,苏木精-伊红(H.E.)染色,显微镜下观察小鼠肝脏及肠道组织形态学变化。
免疫器官指数(%)=100×免疫器官重(g)/小鼠体重(g)
1.3 数据分析
试验所得数据用SPSS25.0进行平均值、T检验及two-way ANOVA分析,P<0.05表示差异有统计学意义;使用GraphPad Prism 8.4.2软件绘图。
2
结果与分析
2.1 体外抑菌试验结果
由表1可知,GX0328-6对三种指示菌均有抑菌效果,尤其对鼠伤寒沙门氏菌其抑菌效果最佳,抑菌圈可达17.5 mm。
2.2 GX0328-6的生长曲线及产酸试验结果
如图1所示,GX0328-6在0~4 h为迟缓期,4~20 h对数生长期,20 h后为稳定期。自开始GX0328-6生长培养液pH逐渐降低,0~8 h pH迅速下降,8~20 h趋于平稳,20 h后再一次迅速下降。
2.3 GX0328-6的耐酸结果
如图2所示,GX0328-6活菌数在0~6 h、pH为7.4的环境下稳定性最好;在0~6 h、pH为2.5、3.0、3.5的环境下呈剂量依赖性下降。此外,在pH为3.0及3.5的环境下,GX0328-6的活菌数在4 h内损耗较少。当pH为2,在2~6 h时GX0328-6活菌数已完全失活。
2.4 GX0328-6的耐胆盐结果
如图3所示,胆盐浓度保持不变时,GX0328-6存活率随时间的延长而降低。此外时间相同时,GX0328-6存活率呈浓度依赖性,随着浓度的增加而降低。2 h时,GX0328-6存活率在胆盐浓度为0.1%、0.3%、0.5%的胆盐环境下仍能达到50%以上。
2.5 GX0328-6的耐高温结果
如图4所示,GX0328-6在40~60 ℃高温下90 min活菌数大于6 CFU/mL仍能保持较高的活性;在70 ℃高温下60 min时及80 ℃高温下30 min时仍能存活,但80 ℃ 60 min后完全失活。
2.6 GX0328-6的安全性试验结果
2.6.1 小鼠体重变化免疫器官指数变化
安全性试验结果发现CON组(连续灌胃生理盐水10 d)与LB组(连续灌胃GX0328-6 10 d)小鼠的毛色、精神状态和粪便均正常。剖检观察发现,两组小鼠腹腔内肝脏、脾脏等主要器官均无明显肉眼可见病变。如图5a和图5b所示,与CON组相比,LB组小鼠体重及免疫器官指数均未显著下降(P>0.05)。
2.6.2 小鼠组织切片
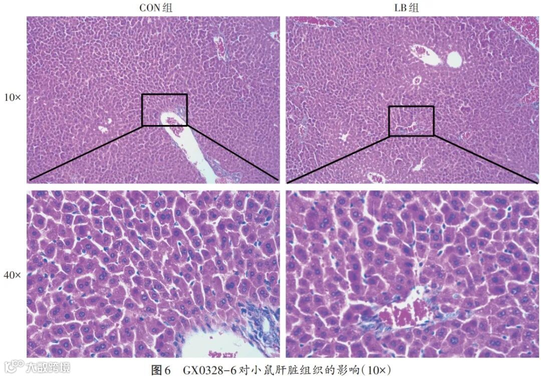
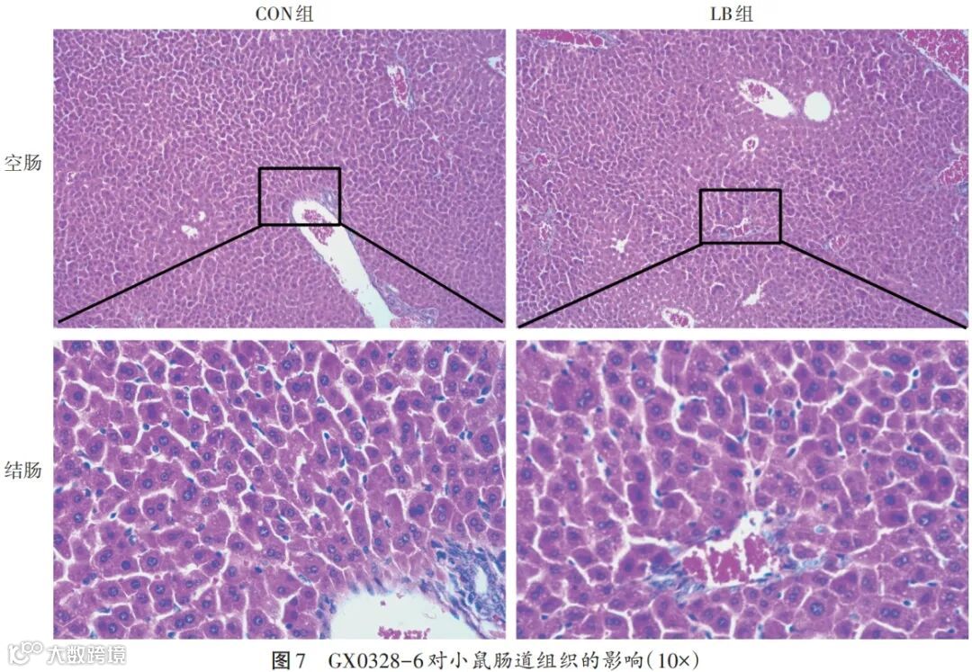
如图6所示,CON组与LB组的小鼠肝脏组织均完整,清晰可见肝索,肝脏组织均无明显病变。由图7所示,CON组与LB组的小鼠空肠及结肠组织结构完整,均未见明显病理变化,肠道绒毛完整。
3
讨论
金黄色葡萄球菌、大肠杆菌及鼠伤寒沙门氏菌引起的感染不仅给养殖业造成巨大的经济损失,还严重威胁人类健康[15-17]。越来越多的国家要求禁止在食用性动物的饲料中添加抗生素,而目前作为抗生素的替代品,益生菌已被广泛研究[18-20]。研究发现,益生菌可以通过产生代谢物或抗菌化合物[21]、改变胃肠道微生物菌群结构、抑制食源性病原体的产生等方式促进机体肠道微生物群的平衡[22-23]。益生菌的益生特性是评估益生菌生物活性的重要因素,而具有潜在益生特性的益生菌需要具备耐酸性、胆盐耐受性、无获得性耐药、对潜在致病菌有抗菌活性等特点[24]。本试验通过检测GX0328-6的抑菌能力、生物学特性及安全性以研究GX0328-6的益生潜力。
布氏乳杆菌可产生细菌素、有机酸等抗菌物质,表现出广谱抑菌活性[25-26]。贡汉生等[27]报道,从传统乳制品中分离的布氏乳杆菌对这大肠杆菌、沙门氏菌及金黄色葡萄球菌均有抑菌效果,且对金黄色葡萄球菌及沙门氏菌抑菌效果最佳。这与本试验中从传统发酵食品酸菜中分离出的GX0328-6的试验结果一致。本试验中,GX0328-6对三种指示菌均有不同的抑菌作用,尤其是对鼠伤寒沙门氏菌的抑菌效果最强,抑菌圈高至17.50 mm。此外,测定微生物生长和代谢产物生成曲线有助于微生物制剂研制中对数生长期和稳定期的选择及了解微生物的生长特性[28]。由于对数生长期的菌株活力较好,益生菌制剂的制备及使用通常选取该时期的菌[29]。研究表明,乳酸菌在37 ℃下培养6~16 h为对数生长期[30]。在本试验中,GX0328-6在37 ℃培养4 h即可进入对数生长期且持续时间长。在环境适宜的情况下乳酸菌能迅速繁殖,并能分泌大量有机酸类,使发酵液pH迅速下降[31]。GX0328-6在0~8 h时pH缓慢下降,在8~20 h时变化比较平稳,此时正是其生长对数期,于20 h后又开始缓慢降低。GX0328-6的产酸能力不显著。布氏乳杆菌可产生细菌素或有机酸等抗菌物质[25-26],而本研究中GX0328-6产酸能力不显著,但他却能表现出广谱的抑菌活性。提示GX0328-6的抑菌机制可能是产生细菌素等抗菌物质以抑制病原菌的生长,但其抑菌机制还需进一步研究。
益生菌对酸性环境及胆盐耐受性也是其益生特性的重要指标,益生菌需通过胃酸环境到达机体消化吸收的主要场所小肠,小肠的肠腔内为胆盐环境[32]。因此,益生菌能否在胃肠道存活取决于其对胃肠道环境中酸和胆盐的耐受能力[33]。本试验中,0~4 h时,GX0328-6在pH为2.5~3.5的环境下降较缓慢,于4 h时还能保持较高浓度的活菌数。在0~4 h 时,GX0328-6在0.1%、0.3%胆汁酸盐环境下存活率在50%以上,具有较高的存活率。该特性保证了GX0328-6在胃肠道环境存活的可能。GX0328-6在胆盐浓度中的存活率呈浓度依赖性降低,这可能与高胆盐浓度在细胞外产生高渗透压导致菌株耐受力下降有关[34]。尽管益生菌耐高温试验的研究相对比较少,但研究表明菌株耐高温能力的比较反映了菌种在后期储存、加工过程中的稳定性[13]。因此,本试验测定了GX0328-6在高温环境下的耐受性, 结果发现GX0328-6在40~60 ℃高温下孵育90 min仍能保持较高的活性。在70 ℃高温下60 min时及80 ℃高温下30 min时仍能存活。提示GX0328-6具有较高的高温耐受能力,这表明GX0328-6在存储及加工过程中具有较大的优势。综上GX0328-6具有潜在的益生潜力。
尽管GX0328-6具有潜在的益生特性,但其安全性也是不可忽视的。益生菌候选菌株的必备前提条件是具备良好的生物安全性能[35]。欧盟专家组认为,将布氏乳杆菌添加至饲料中,能产生较多的乙酸并提高饲料的有氧稳定性,延长饲料的保存期[36]。但布氏乳杆菌饲喂后对动物机体的安全性却鲜少有报道。研究报道,干酪IMV B-7280菌株在小鼠口服给药后是安全的,并对肠道微生物群具有积极影响[37]。朱广素等[38]研究发现饲喂青春双歧杆菌Z25和罗伊氏乳杆菌138-1对妊娠期大鼠生殖功能及胚胎形成无影响,未见胎仔内脏和外观畸形。本试验给小鼠持续灌胃10 d GX0328-6,发现其对小鼠生长和饮食均无不良影响,小鼠的生理状态及粪便形状均正常,未出现腹泻等症状,且小鼠活泼,无精神沉郁等不良症状,无发病和死亡。此外,小鼠免疫器官指数及体重变化与对照组相比无显著差异。研究表明,益生菌对断奶仔猪的平均日增重和饲料利用率具有显著的促进作用[39],本试验在灌胃GX0328-6菌液第4天后,发现与CON组相比,LB组的体重呈增加的趋势,但无显著差异。推测这可能与饲喂时间过短有关。通过形态学分析发现GX0328-6对小鼠体内脏器均无影响,肝脏组织H.E.染色结果发现小鼠肝索清晰,肝细胞完整,无细胞变性、炎性病灶及充血等病理现象;小鼠肠道组织切片结果显示小鼠空肠及结肠绒毛未有损伤,纹状缘较完整。上述结果均表明GX0328-6对小鼠具有安全且无致病性的特征。
4
结论
综上所述,GX0328-6具有良好的生长特性,在高温、高胆盐及强酸环境下具有良好的耐受性及安全无致病性等特性。GX0328-6的分离鉴定可为控制病原菌的益生菌制剂的开发提供一个选择,同时也为后期试验提供研究基础。
参考文献及更多内容详见:
饲料工业,2023,44(17):98-104
引用格式
石艳,彭昊,李珣,等. 1株布氏乳杆菌的益生特性及其安全性研究[J]. 饲料工业, 2023, 44(17): 98-104.
转 载 声 明
本文为“饲料工业”独家稿件
版权合作,敬请联系gyslgy@126.com
未获书面许可,一律禁止转载!谢谢合作!
关注公众号 阅读好文章

