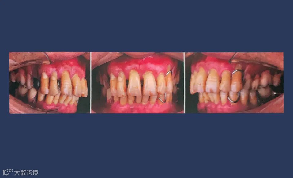
口外检查:面部对称无偏斜,面下1/3垂直高度正常,口角无偏斜,鼻唇沟加深,中线略偏右侧。低位笑线,前牙开唇露齿。开口度正常。
口内检查:13-23牙龈退缩,牙齿松动2-3度,14-17,24-27缺失,牙龈颜色质地正常,36、37、45、46、47缺失,下颌余留牙松动1-2度。
咬合检查:前牙深覆盖深覆he,后牙活动义齿咬合稳定。
牙周检查:上下颌牙周探诊深度均大于5mm,上颌余留牙松动2-3度。下颌余留牙松动1-2度,牙龈轻度水肿,探诊出血。
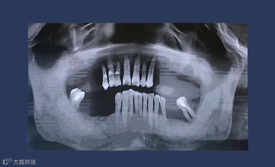
x线检查:上颌余留牙牙槽骨吸收至根尖1/3,预留骨量尚可,骨密度II-III类。
CT检查:后牙余留骨量高度10-12mm,前牙骨高度12-14mm,宽度均大于6mm。
诊断:上下颌肯氏I类缺损;重度牙周炎
治疗方案:
方案一:分段粘接固位,种植位点1、3、4、6
方案二:覆盖义齿,2/4杆卡修复
方案三:一体桥架式修复,种植位点2、4、6
比较各方案风险与优缺点后,确定为方案三。
治疗计划:术前牙周序列治疗→术前牙周固定,采集数据,设计导板→导板引导下手术,术后即刻修复→术后4个月进行数字化修复程序→完成修复后功能和美学验证→长期随访和维护
治疗程序:
术前两周:术前准备
术前一周:数据采集、方案设计
术前一天:数据输出
术中:外科程序
术后两周:术后验证
术后4个月:修复程序
术后长期:随访维护
吕院长根据程序,术前准备后,进行面扫、口扫采集面部与口腔信息,修复引导下设计种植体位置及导板,导板引导下植入6枚中科安齿植体,初稳良好,术后验证种植位置精确,术后椅旁即刻修复。术后4个月,利用口扫取模,制作钛支架氧化锆一体桥。黏膜面形态良好,利于患者进行清洁。
左右滑动 查看更多
中科安齿植体系统配备了数字化全流程的外科及修复配件,确保了手术顺利、快速、精准地完成,是为临床医生及患者节省时间,提高精度的重要保障。
作者:许嘉允
中山大学光华口腔医学院·附属口腔医院 医师 博士后
中山大学光华口腔医学院本科
中山大学光华口腔医学院·附属口腔医院种植专业 硕士
2016-2020年公派日本,东京医科齿科大学口腔种植与再生医学专业 博士
曾任职于东京UC牙科种植中心
中科安齿是由中科院孵化的致力于口腔种植及修复产品研发制造的国家高新技术企业。始终秉承“原创之美,精密至极”的工匠精神,打造“中国芯、中国造”的高端口腔医疗器械品牌。
中科安齿拥有国际一流水平的现代化生产线,遵循最严格的质量管理体系,每一件产品皆需经过17道检测工序,67项检验项目合格后方可出厂。
公司专注自主创新,拥有300多项专利,其中种植体专利数量位居行业前列。同时开展与著名医学院校、科研机构及国内外顶级临床专家的合作,主持并参与了多项行业标准,服务超过2000家口腔医疗机构。中科安齿致力于使口腔种植过程更为简捷与安全,为客户提供更精准的个性化医疗产品,让全人类享受到更为优质的医疗服务。
CASANGELS 中科安齿
关注我们
了解更多官方资讯

