摘要:患者张先生,近日神清气爽,脸露笑容。因脑部出血并形成血肿,入住我院。在我院的精心治疗下,恢复良好,步行离院。这是我院完成的首例神经内镜下脑内血肿清除术,标志着我院神经外科手术再上新台阶。
冬日暖阳,暖透患者心。张先生,52岁,因突发头晕头痛,造成神志模糊、失语、肢体乏力,入住我院神经外科病区。经我院神经外科会诊,准确判断病因,并及时实施神经内镜下脑内血肿清除术,目前患者已经康复,并步行离院,对我院精湛的医疗技术盛赞不已。这是我院完成的首例神经内镜下脑内血肿清除术,标志着我院神经外科手术跃上新台阶。以下是张先生入住我院后的基本诊治情况,以飨患者。
【入院基本检查情况】
症状:神志模糊,失语,右上肢肌力1级,右下肢肌力0级。
血压:BP200/110mmHg。
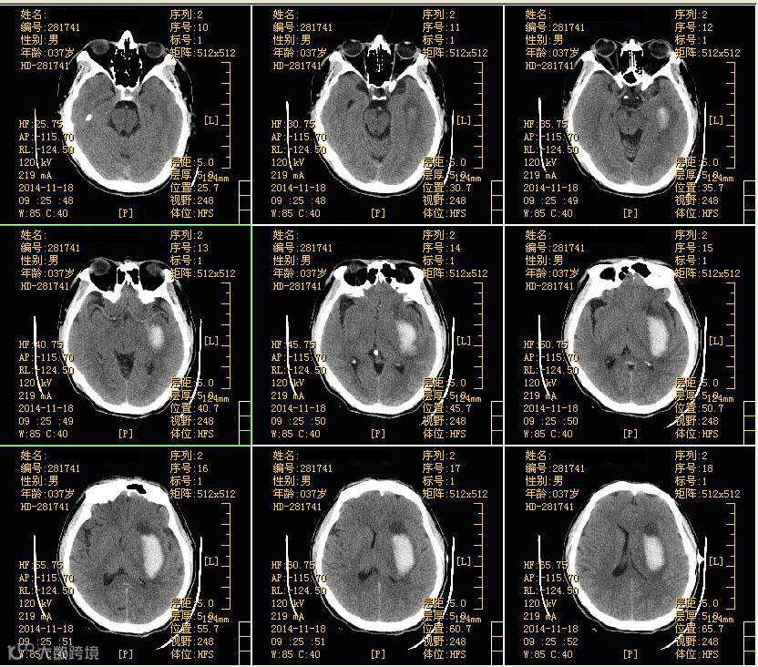
颅脑CT检查:左侧基底节区脑出血并血肿形成。

术前脑部CT图
【手术过程】
采用神经内镜手术,手术时,仅在头皮下切开约2 cm长伤口,创伤极少,术后恢复快。

术中展示
【治疗效果】
经我院神经外科治疗,恢复良好,复查CT提示脑内血肿大部分清除,右侧肢体肌力恢复,步行离院。

术后CT
【名词解释:神经内镜技术】
神经内镜技术是"微创神经外科"理念的突出代表。以"神经内镜技术"处理神经系统疾病,具有创伤小、安全度高、并发症小、恢复快和费用低等优点。神经内镜手术的出现,让患者可以在微创的情况下准确的完成复杂的脑部手术,适合于神经外科以下疾病:
v 大多数脑积水
v 高血压脑出血
v 颅内蛛网膜囊肿
v 脑室内及脑室旁囊肿
v 大多数垂体瘤
v 透明隔囊肿
v 脑脊液鼻漏
v 视神经卡压综合征等

↓↓↓ 『阅读原文』 深圳领先的神经外科介绍

