今日宝安区中心医院神经外科再次独立成功实施一例神经内镜下高血压脑出血血肿清除术,这是宝安区中心医院独立完成的第15例该类手术。
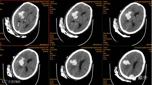
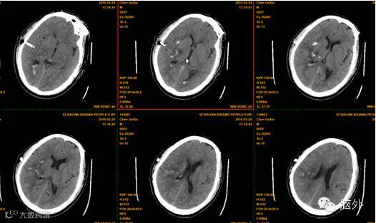
患者陈**,男,55岁,因“突发左侧肢体乏力伴言语不清1小时”于2016年3月23日拟“1.脑出血”收入本区。入院示头颅CT提示:右侧基底节、外囊、丘脑、放射冠区脑出血。出血量约40ml。完善相关术前准备后,在全麻下为患者施行了完全神经内镜下脑内血肿清除术,术程顺利,整过手术过程出血仅数毫升,术后患者清醒,正在康复中。
近年来,随着微创神经外科的发展,神经内镜技术已用于高血压脑出血的外科治疗。高血压脑出血目前常用的手术方式包括锥颅血肿引流术和开颅显微镜下血肿清除术,前者创伤小,但是盲穿,后者能在直视下清除血肿,但创伤较大,全内镜下血肿清除术则兼具两者的优点,不仅能在直视下清除血肿,而且创伤更小,术中只需要在皮层形成一个直径1CM大小的操作通道即可,能够最大限度地保护正常脑组织。术后并发症及后遗症少,患者恢复快,住院时间缩短,医疗费用相应减少,是治疗高血压脑出血病例的较为安全、有效的微创治
疗方法。
术中穿刺见到脑内血肿:

术中内镜下清除血肿:

术前CT:

术后复查头颅CT提示脑内血肿几乎完全清除


