自信笑容
由齿绽放
生活中,我们常常因为蛀牙严重、意外受伤等原因不得不拔除患牙。缺牙后,影响美观、咀嚼等,给我们带来诸多尴尬。
那么缺牙后,有哪些修复牙齿的方式?
选哪种修复方式更好呢?
目前常见的修复方式有以下三种:
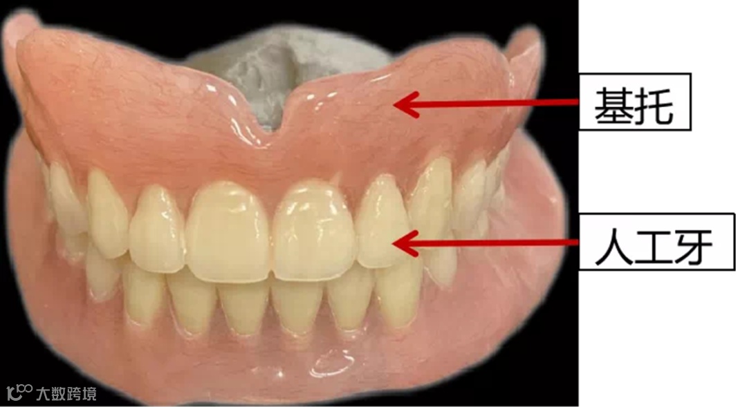
活动义齿
活动义齿,俗称“活动假牙”,是一种患者可以自行摘戴的修复体,依靠卡环和基托固定在余留牙和颌骨上。


优点:
活动义齿适应范围广泛,从缺失一颗牙到全部缺牙,均可采用活动义齿修复。活动假牙磨牙少或不磨牙,具有费用低、操作简便、便于清洗等优点,目前仍被广泛采用。
缺点:
但活动义齿使用不方便、咀嚼效率不佳,因基托体积大,容易使患者有异物感、疼痛感、发音受影响等。还容易造成邻牙松动龋坏,随着时间推移,活动义齿稳固性变差或又有牙齿缺失,这时就需要更换了。
固定义齿
固定义齿通常是将缺牙位旁边的天然牙体积磨小,从而起到“桥墩”的作用,以修复缺失牙的一种方式,靠粘接剂将假牙固定在“桥墩”上,患者不能自由摘戴。由于它的结构很像工程中的桥墩和桥梁结构,也称固定桥。

优点:
固定义齿具有咀嚼效率高,固位力大、支持稳定作用好、舒适美观、价格适中。
缺点:
需磨牙,而且磨除牙体组织较多(这是不可逆的损伤),如选择普通金属的修复材料,随着时间的推移会导致牙龈发黑等不美观的效果。
种植牙
种植牙有“人类的第三幅牙齿”之称。是目前最理想的修复缺牙的方式。把人工牙根植入缺牙区,等人工牙根与牙槽骨密合后,再在人工牙根上制作牙冠。种植牙可以获得与天然牙功能、结构以及美观效果十分相似的修复效果。

优点:
功能强
有牙根支持,能很好地恢复牙齿功能,咀嚼功能接近天然牙。
不磨牙
不用磨旁边的健康牙齿,对牙齿没有任何伤害。
固位好
像真牙一样扎根在口腔里,具有很强的固位力与稳定性。
美观
通过软硬组织恢复,达到整体协调和美观的最佳效果。
舒适方便
没有异物感,非常舒适、方便,而且有利于保持口腔的清洁卫生。
缺点:
治疗周期长,对医生技术要求最高,对身体条件有要求,价格也最贵。
以上是缺牙的几种修复方式。具体怎么选,就需要对缺牙数目、部位、剩余牙齿的情况等进行综合考虑,选择最佳的修复方式,还是需要交给专业的口腔医生来评估!
-END-
口腔科简介
科室概况
基本情况:
深圳市宝安区中心医院口腔科目前为深圳西部较大规模口腔医疗专业机构,是深圳西部首批获得深圳市政府“三名工程”立项和宝安区政府“柔性引才项目”立项的口腔医疗专业机构之一,目前和四川大学华西口腔医院、武汉大学口腔医院、中山大学附属口腔医院以及南方医科大学口腔医院等国内顶级口腔医学院校进行临床以及科教研全方位深度合作,每月定期有十余名国内知名口腔医疗专家到我中心出诊,让深圳及周边居民不出远门即可享受名医诊疗。

科室设有口腔保健、牙体牙髓、牙周黏膜、修复、正畸、种植、口腔颌面外科等专业。目前科室的口腔种植修复和牙列矫正治疗以及根管显微治疗等高、精、尖口腔诊疗技术的量和质的水平均居区内前列和市内先进。
三名工程:
为积极响应与贯彻深圳市“医疗卫生三名工程”政策,提高深圳市在口腔牙体牙髓诊疗及科教研方面的能力水平,深圳市宝安区中心医院于2017年7月第三批成功引进“中山大学光华口腔医院凌均棨教授团队”。凌均棨教授牙体牙髓病学团队来自中山大学附属口腔医院牙体牙髓病科,目前为华南地区,乃至中国牙体牙髓病学领域中,规模较大、技术力量强、学术与教育最具影响力的专业科室之一。

在专家团队的带领下,深圳市宝安区中心医院口腔科的技术力量、临床水平有了显著提升,根管显微治疗水平居区内前列和市内先进。依托科室与专家团队合作,多次举办省市级继续教育项目以及承办国家级学术会议,积极帮助深圳本地区医师提升口腔专业理论知识水平以及临床治疗技术。



点击查看原图
专家介绍
学科带头人
口腔科主任
医学博士
四川大学华西口腔医学院口腔种植修复学博士,副主任医师,现为深圳市宝安区中心医院口腔科主任、学科带头人,深圳市三名工程项目依托科室负责人,宝安区高层次人才,国际口腔种植学会会员,广东省口腔种植专委会委员,深圳市口腔医学专业委员会委员,宝安区口腔医学专委会副主任委员,曾在美国迈阿密大学医学院深造,香港大学深圳医院及其他三甲医院工作多年,先后到中山大学附属光华口腔医学院、广东省口腔医院、广州医科大学附属口腔医院进修学习,参与并完成国家自然科学基金课题一项,主持广东省厅级课题1项,主持深圳市级科研课题及宝安区级科研课题5项,主编口腔医学编著1部,SCI收录英文论著3篇,国家级核心期刊收录中文论著十余篇,擅长处理各种口腔常见疾病,尤其擅长复杂口腔种植及修复技术。
毕业于中山大学光华口腔医学院,副主任医师,现任宝安区中心医院口腔科副主任。先后到中山大学附属口腔医院、广东省口腔医院进修学习,师从我国著名种植专家陈卓凡教授。擅长口腔牙槽外科手术,种植手术,种植义齿修复,前牙美容修复。先后主持市、区级科研课题三项,在国内核心期刊发表论著二十余篇。
广东省口腔医学会口腔修复专委会委员,广东省口腔医学会口腔急诊专委会委员,深圳市口腔医学会常务理事,深圳市口腔医学会口腔修复专委会委员,深圳市口腔医学会口腔全科专委会委员,深圳市医学会口腔专委会常务委员,深圳市宝安区医学会口腔专委会副主任委员。
向下滑动查看更多
往期精彩
◆长智齿了,应该拔吗?
◆请不要让牙周炎成为成年人后半生的痛
◆牙齿缺失不修复有什么危害?口腔医生:或会诱发其他疾病
本文致力于科普不作商用,部分图片来源于网络,如有侵权请及时告知删除,谢谢!
供稿/口腔科一区 王利娜


