
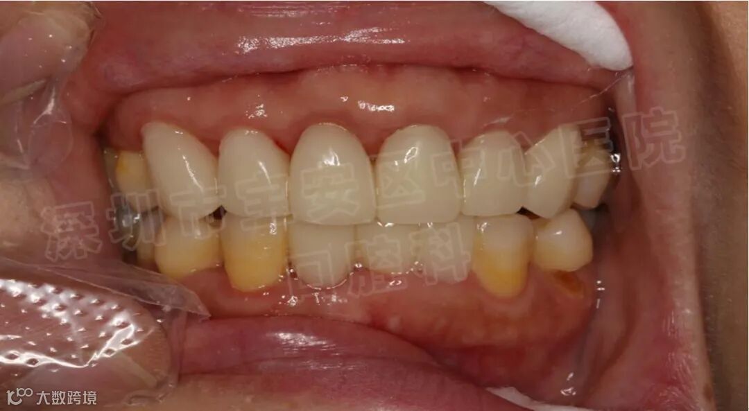
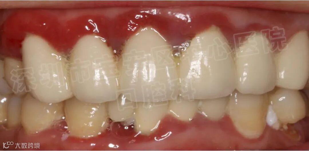
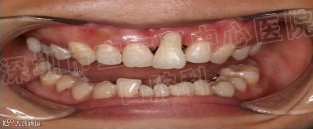
牙周病 是牙齿支持组织,包括牙龈、牙骨质、牙周韧带和牙槽骨因炎症所致的一种疾病,是最常见的口腔疾病之一,也是导致牙齿丧失的一个主要原因。但患者并非所有这些组织都同时患病,视局部炎症的轻重及范围,牙周病可分为龈炎和牙周炎二大类。

牙周病的原因是什么?
01
牙菌斑
是指黏附于牙齿表面的微生物群,不能用漱口、水冲洗等方法去除。
02
牙石
是沉积在牙面上矿化的菌斑。牙石本身妨碍了口腔卫生的维护,从而更加速了菌斑的形成,对牙龈和牙周组织形成刺激,导致牙周炎。
03
创伤性咬合
在咬合时,若咬合力过大或方向异常,超越了牙周组织所能承受的咬合力量,致使牙周组织发生损伤的咬合,称为创伤性咬合。创伤性咬合包括咬合时的早接触、干扰、夜间磨牙等。
04
全身因素
如年龄、性别、遗传、内分泌、营养、糖尿病等因素使牙齿的支持组织逐渐被破坏,失去了支撑的牙齿最后松动、咀嚼无力,当然不能发挥咀嚼功能了。
05
其他
包括食物嵌塞、不良修复物及假牙、口呼吸等因素,也促使牙周组织的炎症过程。

牙周病怎么治疗?
对牙周炎的治疗要从消除病因和减轻症状两方面入手。
牙周基础治疗
龈上洁治、龈下刮治、根面平整等。
牙周手术治疗并配合药物治疗
经过上述治疗之后,大多数患者的牙周炎症可以得到消除,松动的牙齿慢慢稳固,患者的咀嚼功能明显提高。但是,经过牙周基础治疗之后,部分患者仍然会有个别牙齿,甚至多颗乃至整个牙弓中的余留牙齿松动,难以行使正常的咀嚼功能,一旦出现上述问题,则需要采用牙周炎手术治疗。牙周翻瓣,牙周再生,骨再生等手术去恢复牙龈炎症,牙槽骨吸收等问题
修复治疗
修复治疗成为牙周炎综合治疗的重要组成部分,牙周炎的修复治疗是在牙周基础治疗的基础上,通过修复学的方法来改善患牙的松动、移位及咀嚼无力等症状。牙周炎的修复治疗主要包括调牙合、正畸疗法和牙周夹板固定等。

日常牙周病怎么预防
1.养成良好的卫生习惯,保持口腔牙周组织健康。
2.密切注意牙周疾病的早期信号。
牙龈红肿出血,松动,咀嚼无力等。
3.有效提高牙齿及口腔的免疫能力。
发现问题及早就医(口腔科的俊男靓女为你保牙护齿)
4.养成健康的饮食习惯。
注意饮食结构要营养均衡,多吃白肉、蛋、蔬菜、瓜果等有益于牙齿口腔健康的食物;尽量少吃含糖食品,不抽烟,少喝酒,多吃富含纤维的耐嚼食物,有效增加唾液分泌,利于牙面及口腔清洁。
5.定期进行口腔保健检查。
有条件的话,要保证儿童每半年一次,成人每年一次,到正规医院诊所进行口腔及牙齿健康检查;每半年或一年去医院洗一次牙,牙周炎患者除掉龈下牙结石后需要序列复诊,牙周医生帮你养成良好口腔清洁维护习惯
6.提高口腔卫生预防意识。
该戒烟时需要你果断放弃你手上的香烟,切勿常喝软饮料,如冰茶、可乐、柠檬汽水等各种碳酸饮料,均会对牙齿造成不同程度的伤害;
切记切记看牙需趁早,莫让你心爱的牙齿早早离你而去,你口里的牙都想与你相濡以沫相伴到老!
口腔科简介
科室概况

基本情况:
深圳市宝安区中心医院口腔科目前为深圳西部较大规模口腔医疗专业机构,是深圳西部首批获得深圳市政府“三名工程”立项和宝安区政府“柔性引才项目”立项的口腔医疗专业机构之一,目前和四川大学华西口腔医院、武汉大学口腔医院、中山大学附属口腔医院以及南方医科大学口腔医院等国内顶级口腔医学院校进行临床以及科教研全方位深度合作,每月定期有十余名国内知名口腔医疗专家到我中心出诊,让深圳及周边居民不出远门即可享受名医诊疗。
科室设有口腔保健、牙体牙髓、牙周黏膜、修复、正畸、种植、口腔颌面外科等专业。目前科室的口腔种植修复和牙列矫正治疗以及根管显微治疗等高、精、尖口腔诊疗技术的量和质的水平均居区内前列和市内先进。
三名工程:
为积极响应与贯彻深圳市“医疗卫生三名工程”政策,提高深圳市在口腔牙体牙髓诊疗及科教研方面的能力水平,深圳市宝安区中心医院于2017年7月第三批成功引进“中山大学光华口腔医院凌均棨教授团队”。凌均棨教授牙体牙髓病学团队来自中山大学附属口腔医院牙体牙髓病科,目前为华南地区,乃至中国牙体牙髓病学领域中,规模较大、技术力量最强、学术与教育最具影响力的专业科室之一。

在专家团队的带领下,深圳市宝安区中心医院口腔科的技术力量、临床水平有了显著提升,根管显微治疗水平居区内前列和市内先进。依托科室与专家团队合作,多次举办省市级继续教育项目以及承办国家级学术会议,积极帮助深圳本地区医师提升口腔专业理论知识水平以及临床治疗技术。





点击查看原图
专家介绍
学科带头人
口腔科主任
医学博士
四川大学华西口腔医学院口腔种植修复学博士,副主任医师,现为深圳市宝安区中心医院口腔科主任、学科带头人,深圳市三名工程项目依托科室负责人,宝安区高层次人才,国际口腔种植学会会员,广东省口腔种植专委会委员,深圳市口腔医学专业委员会委员,宝安区口腔医学专委会副主任委员,曾在美国迈阿密大学医学院深造,香港大学深圳医院及其他三甲医院工作多年,先后到中山大学附属光华口腔医学院、广东省口腔医院、广州医科大学附属口腔医院进修学习,参与并完成国家自然科学基金课题一项,主持广东省厅级课题1项,主持深圳市级科研课题及宝安区级科研课题5项,主编口腔医学编著1部,SCI收录英文论著3篇,国家级核心期刊收录中文论著十余篇,擅长处理各种口腔常见疾病,尤其擅长复杂口腔种植及修复技术。
向下滑动查看更多
END
本文致力于科普不作商用,部分资料来自于网络,如有侵权请及时告知删除,谢谢!
供稿/口腔科一区 赵晓丽
编辑排版/健教科



