——记宝安区中心医院神经外科2021清明节三天假期在医务人员紧缺情况下,完成9台急诊手术,不负医生神圣使命,成功挽救患者生命。
记录者:古磊

对神经外科医生来说,在3天时间做9台急诊手术,意味着什么?
我们先来算一笔账:
平均每台手术耗时3-4小时;
术后谈话和处理患者的事情还需要1-2个小时;
这样平均每台完整的手术大概需要耗费5小时左右;
9台手术就需要45小时;
3天一共才72小时,除去45小时后,只剩27个小时,平均到单日是9小时;
这9个小时中,还要减日常接诊门诊患者、住院部查房等的工作时间;
这就意味着,医生们每天吃喝拉撒和睡觉的时间都只能“见缝插针”。

4月3日
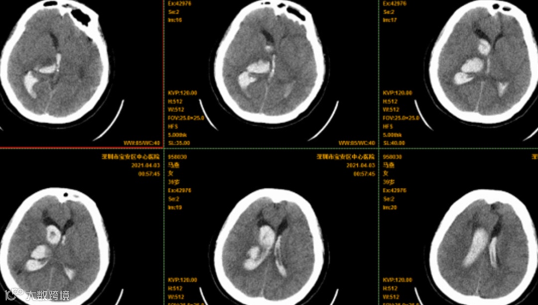
凌晨01:00,宝安区中心医院120急救车送来一名39岁在家突然昏迷的烟雾病患者。急查其颅脑CT:右侧丘脑出血破入脑室、急性梗阻性脑积水。患者病情危重,等手术抢救工作全部顺利完成,已凌晨4点多。
术前颅脑CT:

06:00,神经外科收治一位47岁在家突然昏迷的患者,急查颅脑CT:左侧基底区脑出血破入脑室、急性梗阻性脑积水,急诊行双侧脑室钻孔外引流+左侧基底节区血肿腔置管外引流+颅内压探头置入术。患者经过抢救治疗,顺利清醒过来。这时已经是上午9点半了。
你以为医生做完手术能稍微休息一下了?
不不不,科室里还有40多个住院患者需要查房,还有门诊患者要接诊。

别人是苦尽甘来
而你是苦竟刚来
12:20,急诊科会诊一名39岁患者,左侧瞳孔散大,病情极危重,立即启动绿色通道抢救流程,直接送手术室。神经外科医生对患者行开颅手术治疗,术中还发现颅内血管畸形,在显微镜下将动静脉畸形切除。
对患者进行6个小时的手术及规范的术后治疗后,医生们感觉深深的疲倦疯狂袭来,但不敢有丝毫倦怠,还要紧接着处理术后事宜。处理完抓紧时间吃点东西,不然等会随时都有可能没时间吃饭了。稍作休息又赶紧回办公室补堆积如山的患者病历。
20:00,急诊又送来一名深度昏迷、无自主呼吸的36岁患者,自发性脑干出血破入脑室。经过一天4台手术,神经外科全科人员的体能已经达到极限,仍继续坚持完成这1.5小时的手术。手术过程顺利,但这名患者术后生命体征不平稳,还不能自主呼吸。医生们需要继续绷紧神经,做好患者的术后管理,不允许出现丝毫的差错。

4月4日
07:20,我院120急救车接回一名58岁车祸中昏迷患者,特重型颅脑创伤、颅内血肿、胸腹联合伤,患者病情极其危重,需要多学科联合救治,术中患者血压低,患者脑膨出明显。神经外科的医生们立即加快手术进程,经过约4小时的奋战,手术结束复查颅脑CT:脑缺血明显,颅内压高。需要立即将患者再次送手术室行右侧去骨瓣减压+硬脑膜修补术,历时3小时。术后立即请普外科会诊考虑患者腹腔脏器损伤,便行开腹探查、脾切除术及胸腔闭式引流术。目前患者在ICU继续治疗。
16:30,才刚刚处理完上一个双侧开颅手术患者,医生们没来得及喝口水,又紧接着送来一个双侧瞳孔散大的脑出血(量约100ml)的患者,呼吸紊乱,随时可能死亡。立即启动绿色通道抢救流程送手术室做术前准备,谈话、签字,急诊开颅行左侧基底节区血肿清除术+去骨瓣减压术+颅内压探头置入术+硬脑膜修补术,经过5小时手术抢救患者双侧瞳孔恢复正常,生命体征平稳。
4月5日
17:00,急诊科会诊一名32岁男患者,因高处坠落致意识障碍约1.5小时,颅内多发血肿、颅骨多发粉碎性骨折、脑脊液耳鼻漏、双肺挫伤,入院后病情迅速加重,左侧瞳孔散大。患者情况危急,行左侧开颅去骨瓣减压+颅内血肿清除+颅内压探头置入+硬脑膜修补。手术历时4.5小时,术中清除硬膜外血肿约90ml、硬膜下血肿约60ml。经抢救,患者已基本清醒。
4月6日
06:40,假期即将结束,值班医生要准备8点钟交班了。结果这时,一名体重约300斤的脑出血患者因出血量大,紧急进行5小时的开颅手术后,终于患者清醒。


回顾整个清明假期,神经外科全员无休。在甄云主任及黄振林副主任带领下,与病魔进行了一场高强度的战争,没有一人退缩。科室内9位医生,1人抽调支援发热门诊,1人支援感染病房,2人支援新冠病毒疫苗接种工作,剩下5名医生奋战在科室医疗救治一线。
虽然医生们不是天天都这么高强度工作,但确实每天都很忙。加上最近人员紧缺,更是忙上加忙。
假期是让人放松休息的,但医生遇到假期往往比平时更忙,即使在家“休息”也要24小时待命,做好随时被召回医院工作的准备。
要知道,他们是医生,但也是一个渴望假期的普通人。
神经外科简介
科室概况
神经外科成立于1993年,现有病床37张,拥有自己独立的ICU病房(病床5张),现有医护人员共37人,其中医生9人,主任医师2名,其中硕士研究生导师1名,副主任医师5名,主治医师2名,硕士研究生3人。拥有齐柏林神经内镜、德国蛇牌手术动力系统、蔡司手术显微镜、进口SWJ90型新型多体位神经外科手术头架、德国西门子呼吸机及Drager呼吸机、Codman和Camenol有创颅内压监护系统等先进诊疗设备。

科室以急、危、重症患者快速有效抢救为特色,对于急、危、重症患者的抢救水平处于市内领先水平,此外神经内镜治疗脑出血,也是我科的特色项目,患者创伤小、恢复快、花费少,主要诊疗项目:颅脑创伤的救治、脑血管病的诊治、脑出血的手术治疗、脑肿瘤手术治疗、三叉神经痛以及面肌痉挛的手术治疗、头皮肿物手术治疗、颅骨骨瘤手术治疗、脑积水手术治疗等神经外科疾病的诊治。
专家介绍

神经外科主任
宝安区高层次人才
主任医师
医学硕士
硕士研究生导师
社会任职:
世界华人医师协会、世界华人神经外科协会颅脑创伤专业委员会委员,广东省医学会创伤学分会颅脑创伤学组委员,深圳市医师协会神经外科医师分会常务理事,深圳市医学会神经外科专业委员会委员,深圳市医师协会脑血管病专业委员会常务理事,深圳市中西医结合学会神经外科专业委员会副主任委员,深圳市抗癌协会神经肿瘤专业委员会常务理事。
学术经历:
曾先后在哈尔滨医科大学第一附属医院神经外科、北京天坛医院神经外科、广东省中山大学第一附属医院神经外科参观进修学习。
擅长:
显微镜下各种脑肿瘤如脑膜瘤、胶质瘤、垂体瘤等切除术、显微镜下脑血管畸形切除术、神经内镜下脑内血肿清除术;三叉神经痛、面肌痉挛的诊断及治疗;各种颅脑损伤的诊断及治疗;脑血管疾病及各种缺血性疾病的诊断及治疗;脑脓肿、脑积水及脑寄生虫病的诊断及治疗。
科研:
发表学术论文二十余篇,市级科技成果奖2项,市级立项2项,区级立项3项。
向下滑动查看更多

—END—
供稿/神经外科 古磊
编辑排版/健教科


