肺部罕见病
致命的“美丽”
大多数爱美的女性都希望自己冻龄
渴望皮肤光滑有弹性、没有皱纹
殊不知
有一种病就能达到这种“效果”
它就是硬皮病
现代临床医学开创者William Osler爵士曾经这样提到:“硬皮病是人类最可怕的疾病之一……像木乃伊一样被包裹在收缩的皮肤钢壳里,这是古往今来的任何悲剧都不足以形容的命运。”
前不久,宝安区中心医院呼吸内科就收治了一位患有硬皮病的患者。
48岁的患者张大姐(化名),因为“反复咳嗽4月余”,兜兜转转去过很多医院,包括三甲医院,咳嗽一直未见缓解。

2022年8月4日,她从熟人那得知宝安区中心医院呼吸内科是区重点学科,便从广州来到深圳,直奔中心医院呼吸内科门诊就诊。
一开始谁也没把张大姐病因往罕见病的方向想,但主管医生胡安美对其进行详细的体格检查时,发现这位大姐面部皮肤光滑,虽然已经快50岁,但额头没有一条皱纹,即使皱眉头也不见“老虎纹”。医护人员还开玩笑问她怎么保养得这么好。何大姐不好意思地回复:“我的皮肤没有怎么保养,一直都是这样的啦”。
也许出于医生的第六感,主管医师胡安美总感觉何大姐脸上没皱纹这件事不对劲,便对她的“冻龄”秘籍进行了“寻踪秘籍式”的询问和查体。
发现何大姐的咳嗽一直是干咳,基本没有过脓痰,双手一到冬天遇到寒冷的水就会发红发紫,手指头指端呈杵棒状,会无缘无故溃烂。臀部有一个结节,也会无缘无故破溃,何大姐碍于害羞一直没看医生,加上结节能自愈,所以也一直未予重视。

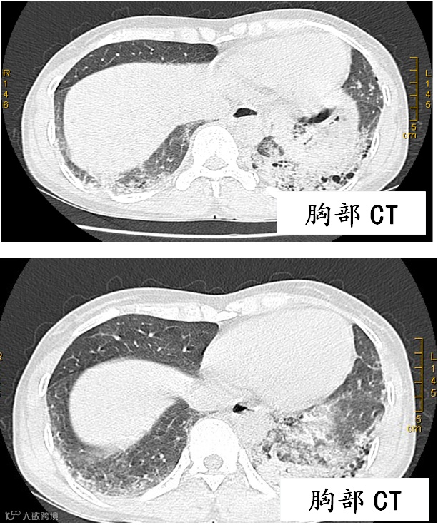
于是,胡大夫将自己心中的疑惑立即汇报给了呼吸内科主任关巍教授。关主任带领医师们到何大姐床旁进行查房,再次详细询问病史和进行体格检查,何大姐的肺底部可以听到明显的爆裂音,在吸气末的时候听得特别清楚。关主任查房后,基本可以肯定患者存在风湿免疫系统疾病,建议她尽快完善胸部CT、风湿九项、肺功能等检查。何大姐按医生的考虑做了一系列的检查,包括生化常规、风湿九项、胸部CT、肺功能全套等等检查。胸部CT提示双下肺间质性肺炎改变,肺功能检查提示中度限制性肺通气功能障碍,弥散功能下降。

在何大姐住院的第四天,风湿九项的结果出来了,何大姐抗核抗体1:1000,SCL-70呈高度阳性,风湿九项中的标记物SCL-70阳性,诊断硬皮病的特异性在97%以上。
原来,引起何大姐“冻龄”的罪魁祸首不是胶原蛋白,而是这个风湿系统疾病——硬皮病。
硬皮病
硬皮病是为数不多的可以使人容貌产生变化的风湿系统自身免疫疾病,影响人们的颜值。
主要表现为鼻尖变小,嘴唇变薄、内收,口周出现放射性皱褶,张口度变小,正常面纹消失,面容刻板,称为“面具脸”;除此之外,还常常影响到胃肠道、肺部、肾脏,晚期甚至影响心脏。

目前,硬皮病的病因尚不明确,发病机制复杂,根据皮肤增厚的程度和病变侵犯的范围分为局灶性硬皮病和系统性硬皮病。
其中,系统性硬皮病也称为系统性硬化症(SSc),因其病变累及范围广泛、预后差,是临床关注的重点,2018年5月系统性硬皮病正式纳入我国罕见病目录。
肺部受累是系统性硬皮病最常见和最重要的内脏器官表现之一,也是致死的重要原因之一。
但早期多数没有症状,最早出现的症状为活动后气短。2/3以上的系统性硬化症患者有肺部受累,渐进性劳力性呼吸困难、活动耐受量受限和干咳是典型的临床表现。其中,间质性肺病和肺动脉高压是最常见的肺部并发症。
这位何大姐是宝安区中心医院诊断的第一例以呼吸道症状为主诉的硬皮病患者。她在中心医院呼吸内科住院的6天时间里,仅用了4天就被明确了诊断,她对科室的服务态度给予了高度赞扬,更对呼吸内科医护人员的诊疗水平给予了高度肯定,并表示感谢。
END
呼吸与危重症医学科简介
专家介绍

呼吸与危重症医学科主任
宝安区高层次人才
医学博士
主任医师
硕士研究生导师
社会任职:
中华医学会呼吸病学分会委员;中华医学会睡眠呼吸协会委员;中国西部呼吸介入联盟副理事长;中国残疾人康复协会肺康复专业委员会委员。
学术经历:
三级甲等教学医院呼吸科工作20余年,日本信州大学附属医院访问学者。
擅长:
气道疾病,感染性疾病、肺结节、慢性咳嗽、呼吸危重症及少见疑难病的诊治,支气管镜技术操作。
科室概况

基本情况:
目前展开床位55张,开设有呼吸危重症病房,睡眠监测室呼吸内镜室、GCP药物临床试验基地、并建立了哮喘专病门诊、慢阻肺专病门诊、睡眠门诊、戒烟门诊、门诊综合治疗室。年门诊量为40000余人次,年住院病2400人次,有医师14名,其中主任医师2人、副主任医师6名,博士1人,在读博士1人,硕士4人,护理21人,其中主管护师3名,助理3人。


诊疗项目:
1. 常见病、多发病的规范化诊治:如肺炎、肺脓肿、支气管扩张、慢性阻塞性肺疾病、肺癌、胸腔积液、肺结节等;
2. 呼吸疑难病的诊治:如肺淋巴管肌瘤病、结节病、卡氏肺孢子菌肺炎、肺泡蛋白沉积症、原发性纤毛不动症,过敏性肺炎等;
3. 呼吸危重症抢救:急慢性呼吸衰竭、重症肺炎、感染性休克、急性肺栓塞等;
4. 气管镜、胸腔镜检查及治疗;
5. 多导睡眠监测:睡眠障碍、睡眠呼吸紊乱和睡眠呼吸暂停、低通气综合征诊治。

科室特色:
1. 疾病诊断及治疗规范化。
2. 设备及技术先进化:拥有先进的设备,能完成支气管镜常规检查及超声支气管镜检查、鞘管引导径相超声肺外周病灶活检术、虚拟导航支气管镜+径相超声肺外周病灶活检术;良恶性气道疾病介入治疗术(包括经支气管镜电凝术、电切术、套扎切除术、CO2冷冻治疗术);经支气管镜异物摘除术、支气管镜球囊扩张术、经支气管镜支架置入术;胸腔镜检查;多导睡眠监测等。
3. 服务人性化:为患者营造温馨、舒适、安全的就医环境。
4. 慢病管理的全程化:对慢病患者(慢阻肺、哮喘、肺癌、支气管扩张)提供急性加重住医院,稳定期多种形势的随访管理服务。
向下滑动查看更多
供稿/呼吸与危重症医学科 胡安美
科普审核/呼吸与危重症医学科 关巍
编辑排版/健教科




