作为一个在一线城市打拼多年的上班族,许先生早出晚归,过着996的生活,每天全身心扑在工作上,想通过自己的努力在陌生的城市站稳脚跟。

随着年龄的增长,许先生也想购买一份保险给自己的健康增加保障,在问卷里填写了不久前公司体检发现的血压轻度升高现象,他以为自己最近乏力、虚弱的感觉只是工作太累没休息好,也就没有继续监测血压和做其他检查。
因为投保的需要,许先生来到宝安区中心医院的心内科就诊,医生对他进行了抽血化验、影像学等检查,根据他的年龄和高血压程度以及伴随症状,告知许先生:他应该转入泌尿外科做进一步的检查和治疗了。
许先生很奇怪
血压升高
不是内科开药就可以控制的吗?

带着疑惑,他住进了泌尿外科病房,泌尿外科医生随后对他的病情做了详细的讲解。
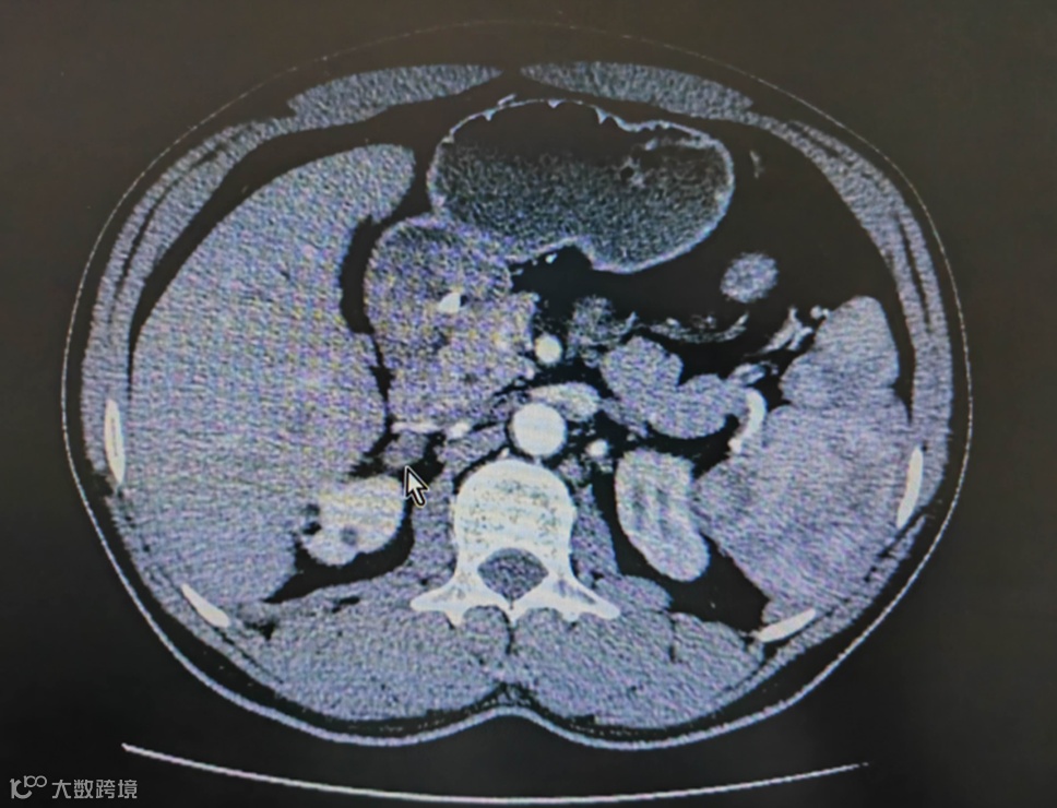
原来,他血液里肾上腺的激素水平远超正常值,CT提示右侧肾上腺长了一个不到2cm的肿瘤,他的高血压、乏力等症状很可能都是这个肿瘤在作怪,在进一步检查及充分的术前准备后,泌尿外科张宇主任为他安排了微创手术切除了肿瘤,手术后徐先生的血压慢慢降了下来,之前升高的激素也恢复到了正常的水平,顺利出院后他如愿购买了保险。

那么为什么许先生的高血压需要手术来治疗呢?
这还得从肾上腺这一对小巧又威力巨大的器官说起:作为人体非常重要的内分泌器官,肾上腺因位于两侧肾脏的上方而得名。
正常情况下,肾上腺可以分泌多种激素,发挥着重要的生理功能,但肾上腺一旦发生病变,就可以导致各种激素水平的紊乱,进而产生多种多样的症状。

年轻人出现的高血压,很多都是继发性高血压(可查明病因的高血压),而很大一部分的继发性高血压都是肾上腺疾病在作怪。
所以,如果你出现血压升高,千万不要忽视!
假如还伴有:乏力、手脚麻木、夜尿增多;脸圆脸红、肚子上的肉越来越多,出现紫色的条纹;血糖变高,女生的月经紊乱,男生的性欲下降、勃起功能障碍;胸痛、心慌、大汗、焦虑等症状,很可能是肾上腺出了问题,一定要去医院就诊,很多肾上腺的疾病仅仅通过药物治疗并不能达到满意的治疗效果,而通过手术的方法则可以实现疾病的根治。
所以,工作再忙,也不要忽视自己的健康,做到早发现、早治疗,否则会对身体造成不可逆的影响,甚至危及生命。

宝安区中心医院泌尿外科能够开展各种泌尿外科手术,特别在肾上腺疾病的微创治疗上有着丰富的经验,受到了广大患者的信赖。
-END-
泌尿外科简介
科室概况
科室概况:
宝安区中心医院泌尿外科是院内重点专科,设有体外冲击波碎石室、结石成分分析室、膀胱镜室、尿动力检查室、盆底康复治疗室、泌尿外科专科门诊、男科门诊、门诊手术室。
诊疗能力:
泌尿外科年门诊量4万人次,对各类泌尿外科常见、疑难、危重疾病具有高水平的诊治实力,特别是泌尿系结石、泌尿系肿瘤、前列腺增生、慢性前列腺炎、男性性功能障碍的诊治水平在全市处于领先行列,并可开展前列腺癌、膀胱癌、巨大肾肿瘤等疑难重症疾病的诊治。
手术能力:
泌尿外科年住院手术2000余台,门诊小手术2000台,目前体外冲击波碎石每年1000余例、累计完成近万例。以微创手术为特色,微创手术率98%以上,达到国内先进水平。
专科优势临床技术有腹腔镜下实施:前列腺癌根治术、膀胱癌根治切除术、肾肿瘤根治切除术、肾部分切除术、肾盂成型术、肾上腺肿瘤切除术;经尿道腔镜手术:经尿道膀胱肿瘤切除术、经尿道前列腺电切术、经尿道前列腺剜除术、尿道狭窄经尿道内切开术、输尿管软镜(硬镜)碎石取石术、经皮肾镜碎石取石术、膀胱镜下碎石取石术;无张力吊带尿道悬吊治疗压力性尿失禁、阴茎畸形矫正术等。
专家介绍
泌尿外科主任
学科带头人
主任医师
博士
副教授
外科教研室主任
硕士研究生导师
宝安区高层次人才
社会任职:
广东省泌尿生殖协会前列腺疾病学分会常委
广东省泌尿生殖协会肾脏外科学分会常委
广东省医师协会泌尿外科分会委员
广东省中西医结合学会泌尿外科专业委员会委员
广东省泌尿生殖协会小儿泌尿外科学分会委员
广东省泌尿生殖协会泌尿腹腔镜学分会委员
广东省健康管理协会泌尿及男科学专业委员会结石学组委员
深圳医师协会泌尿外科分会常务理事
深圳市中西医结合学会泌尿外科专业委员会常委
深圳市医学会男科学分会委员
深圳市宝安区医学会泌尿外科专业委员会副主任委员
学术经历:
2014年德国帕德伯恩圣约瑟夫兄弟基金会医院进修学习,2019年美国迈阿密大学医学院访问学者,先后在北京大学泌尿男科中心、浙江大学附属第一医院、北京大学第三医院、上海仁济医院进修学习。
擅长:
泌尿外科内镜(腹腔镜、输尿管硬镜及软镜、经皮肾镜、电切镜)、泌尿系肿瘤、前列腺增生、泌尿系结石及泌尿男科疾病(不孕不育、勃起功能障碍、慢性前列腺炎)的诊治。
向下滑动查看更多
还有什么想了解的科普内容可以在评论区留言哦~
相关资讯
早上不“升旗”,我怎么了?
为啥需要切包皮?小男孩都要切吗?我的娃要不要切?
本文致力于科普不做商用,部分图片来源图网络,如有侵权请及时告知删除,谢谢!
-END-
供稿/泌尿外科 张天戈
科普审核 /泌尿外科 张宇
编辑/健教科
排版/健教科


