你知道正常成年人的支气管直径是多少吗?
约为一个大拇指的指甲盖宽度
即12-15mm左右

但阿德(化名)支气管最狭窄的部位,直径仅4mm,一口痰都可能让他窒息死亡。

阿德2个月前曾被化学品灼伤气道,抢救治疗行气管切开术。好不容易度过了危险期并安全出院的他,却开始出现气喘、呼吸困难的症状,呼吸还有喉喘音。
随着病情加重,他不单单运动后会气喘,甚至连刷牙、吃饭这种再平常不过的动作,也会引起严重气喘。呼吸不畅伴着随时可能出现的窒息感,让人觉得度日如年,苦不堪言。

动图来自SOOGIF
一天,他突然无法呼吸和说话,汗水很快湿透了他的衣服。被急诊科收入院后,医生发现阿德因气管重度狭窄,已经严重缺氧,喘憋症状非常严重。喘憋症状多1分钟,窒息风险就会加大,阿德离死亡就更近1步。

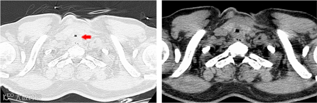
阿德入院时的颈部CT
可见气管重度狭窄
该患者气道狭窄为化学损伤加切开后机械损伤功能所致,且狭窄位置较高,距离声门仅2cm,这种气道狭窄的处理非常棘手,风险高,技术难度大。呼吸与危重症医学科关巍主任迅速申请全院MDT。医院领导高度重视,由朱燕辉副院长主持,医务科黄志浩主任积极协调,麻醉科、ICU、影像科等科室积极参与,针对患者病情制定了个体化手术方案,并在麻醉科的全力配合下,完成了:喉罩全麻下经支气管镜电凝+冷冻+球囊扩张+局部曲安奈德喷洒治疗。


以前,良性气道狭窄的治疗主要通过外科手术。但外科手术创伤大、风险高、容易复发,有相当多的患者并不适合外科治疗且术后并发症亦不少见。
当前经支气管镜介入治疗已逐渐成为处理良性气道狭窄的主要手段之一。经支气管镜球囊扩张术主要用于中心气道狭窄的治疗。其原理是将球囊置于狭窄的气道,通过高压枪泵加压扩张球囊,使狭窄部位的气管全周产生多处纵向小裂伤,裂伤处被纤维组织填充,从而达到狭窄部位扩张的目的,因为该患者病灶局部瘢痕形成,进行了电凝加冷冻的处理后通过球囊扩张达到治疗气道狭窄的目的。

治疗前后影像对比
最终,手术很顺利,效果立竿见影。术后当天,阿德的喘憋症状就基本消失了,术后复查CT,气道由4mm扩张至9mm。对这名病例的成功救治意味着宝安区中心医院在呼吸介入治疗方面已经走在了国内前列,对此类危重症患者的救治有了更多的选择和保障。
呼吸与危重症医学科简介
专家介绍

呼吸与危重症医学科主任
宝安区高层次人才
医学博士
主任医师
硕士研究生导师
社会任职:
中华医学会呼吸病学分会委员;中华医学会睡眠呼吸协会委员;中国西部呼吸介入联盟副理事长;中国残疾人康复协会肺康复专业委员会委员。
学术经历:
三级甲等教学医院呼吸科工作20余年,日本信州大学附属医院访问学者。
擅长:
气道疾病,感染性疾病、肺结节、慢性咳嗽、呼吸危重症及少见疑难病的诊治,支气管镜技术操作。
科室概况

基本情况:
目前展开床位55张,开设有呼吸危重症病房,睡眠监测室呼吸内镜室、GCP药物临床试验基地、并建立了哮喘专病门诊、慢阻肺专病门诊、睡眠门诊、戒烟门诊、门诊综合治疗室。年门诊量为40000余人次,年住院病2400人次,有医师14名,其中主任医师2人、副主任医师6名,博士1人,在读博士1人,硕士4人,护理21人,其中主管护师3名,助理3人。


诊疗项目:
1. 常见病、多发病的规范化诊治:如肺炎、肺脓肿、支气管扩张、慢性阻塞性肺疾病、肺癌、胸腔积液、肺结节等;
2. 呼吸疑难病的诊治:如肺淋巴管肌瘤病、结节病、卡氏肺孢子菌肺炎、肺泡蛋白沉积症、原发性纤毛不动症,过敏性肺炎等;
3. 呼吸危重症抢救:急慢性呼吸衰竭、重症肺炎、感染性休克、急性肺栓塞等;
4. 气管镜、胸腔镜检查及治疗;
5. 多导睡眠监测:睡眠障碍、睡眠呼吸紊乱和睡眠呼吸暂停、低通气综合征诊治。


科室特色:
1. 疾病诊断及治疗规范化。
2. 设备及技术先进化:拥有先进的设备,能完成支气管镜常规检查及超声支气管镜检查、鞘管引导径相超声肺外周病灶活检术、虚拟导航支气管镜+径相超声肺外周病灶活检术;良恶性气道疾病介入治疗术(包括经支气管镜电凝术、电切术、套扎切除术、CO2冷冻治疗术);经支气管镜异物摘除术、支气管镜球囊扩张术、经支气管镜支架置入术;胸腔镜检查;多导睡眠监测等。
3. 服务人性化:为患者营造温馨、舒适、安全的就医环境。
4. 慢病管理的全程化:对慢病患者(慢阻肺、哮喘、肺癌、支气管扩张)提供急性加重住医院,稳定期多种形势的随访管理服务。
向下滑动查看更多
供稿/呼吸与危重症医学科 黄穗华
编辑/健教科 钟静娴
排版/健教科 郑涵


