巨大肝恶性肿瘤
年近五旬的元叔(化名)一直以来身体都还不错,吃嘛嘛香,精神气足。但在去年下半年突然觉得自己每天乏力,没啥精神。不查不知道,到深圳市宝安区中心医院一查才发现元叔肚子里长了肝恶性肿瘤,还很可能已经出现了转移。

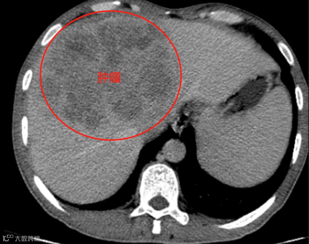
手术切除是实现肝癌根治和长期生存的重要手段。但元叔肝脏肿瘤体积过大,约16cm*11cm。

而且这个肿瘤的位置很刁钻,紧贴第二肝门,紧贴下腔静脉、肝右静脉,肝中静脉穿入肿瘤瘤体后消失不见,根部影像无法显示。比拇指还粗的肝后下腔静脉不仅被肿瘤包裹住,还直接被“霸道”的肿瘤给挤扁了,不排除被肿瘤侵犯可能。肿瘤的顶部还和膈肌紧贴着,有被侵犯可能。直接手术难度大,预后也不好。降期治疗是较好选择。
降期治疗就是在切除肿瘤前,需要对元叔运用肝癌的靶向、免疫、介入等多种联合治疗,使肿瘤缺血坏死,体积缩小,通过转化治疗尽可能将他体内的肝肿瘤体积减小,使不能手术的肝癌转变为可切除肝癌,也改善治疗效果,为后续治疗提供更多的条件和机会。

为了给元叔制定进一步的转化方案。邓振宇院长、朱燕辉副院长再次组织肝胆胰外科、介入科、放射科等科室与中国工程院郑树森院士,在我院远程医学会诊中心进行MDT(Multi-Disciplinary Treatment,MDT,多学科协同诊疗)病例讨论。在郑院士指导下,确定了DTACE加靶向免疫治疗的总体治疗方案。
治疗方案确定后,树兰医院郑树森院士团队曹国洪教授飞赴深圳,与宝安区中心医院介入科赵大兵主任、肝胆外科王楷等医护团队对元先生开展DSA引导下肝动脉化疗栓塞手术治疗。

通过对元叔体内肝脏肿瘤的多条供血动脉进行精细超微导管超选后,分别进行栓塞,尤其是有一条细小的异常膈动脉分支供血到肿瘤也进行了仔细超选后栓塞,阻断肿瘤病灶的血供,使肿瘤缺血缺氧,达到“饿死”肿瘤细胞,让肿瘤体积变小的目的。这也是目前国际上公认的对无法手术切除的晚期肝癌首选的治疗方法。
经过4次介入及靶向免疫降期治疗后,经过综合评估,元叔终于达到了手术的条件。
但手术难度仍然巨大,因为他的肿瘤实在是太大了,所处位置又特殊,手术需要将肿瘤切干净还不能伤到肝里重要的血管,这让经验丰富的肝胆胰外科邱振雄主任也连连感叹:“稍有不慎,就会导致患者出现无法控制的大出血,这个手术的难度真的很高。”
让人欣慰的是,元叔先前并未患有肝炎等肝脏基础疾病,经过术前3D影像重建及术前肝功能评估,可行右半肝及左肝内叶的大范围肝切除。只保留左肝外叶及部分S4b段肝脏就可以满足患者肝功能需求。并准备了人工血管,以备万一下腔静脉被侵犯时行人工血管替换。
术中,肝胆胰外科邱振雄主任团队先采用“双阻断”方法,即在同时间断阻断下腔静脉、肝动脉和门静脉来预防大出血的前提下,切除右半肝及左肝内叶,保留左肝外叶及部分S4b段,精准从肿瘤边缘把左肝静脉及肝裂静脉剥离并保护好。仔细剥离下腔静脉并保护好,发现下腔静脉只是被挤压,并没有被侵犯。

最终手术顺利,整场手术耗时约5小时,元叔术中出血仅100ml左右,而剥除的肿瘤重达3.07kg!
略重口,慎点
▼
目前元叔继续住院接受后续治疗,恢复良好~
为优化中心医院的医疗资源配置,去年医院引进西门子双源Force CT、DSA血管造影设备并启用介入手术室。
西门子双源Force CT(左)
DSA血管造影设备(右)
今年2月,中心医院与树兰(深圳)医院有限公司签订合作协议,引进中国工程院郑树森院士团队,正式建立战略合作关系。

国际著名肝胆胰外科专家、中国工程院院士郑树森作为团队带头人,在中国器官移植和肝胆胰外科领域做出卓越贡献,领导的肝移植团队已成功施行肝移植2300余例,曾带领团队再创奇迹完成全球罕见超难肝移植手术。

依托院士团队辐射效应,以专科发展带动医院发展的同时,将使深圳市宝安区中心医院的医疗救治水平更上一层楼,方便广大群众就医,使群众在家门口就能享受到国内顶尖专家教授来帮自己看病、做手术的名医资源,让群众省钱省时省力省心。
科普时间
什么是介入治疗?
介入治疗主要针对肿瘤性的疾病以及血管性的相关疾病,血管性的疾病主要包括冠脉堵塞、支架的置入、血栓的取出以及瓣膜缺损时置入瓣膜进行封堵等。肿瘤性的疾病主要包括介入栓塞、堵住肿瘤的血管,以及肿瘤区域置入化疗的药物和放射性粒子的植入,抑制肿瘤的生长。
DSA介入治疗有什么优点?
1.微创治疗,患者体表只有一个血管穿刺点,一般只需局部麻醉而非全身麻醉。
2.通过引入细小导管,在血管内进行造影和治疗,痛苦轻、恢复快,一般术后第二天就可自由活动。
3.对于无法根治的恶性肿瘤,介入治疗能尽可能把药物局限在病变的部位,减少对身体和其他器官的副作用,明显改善患者的生存质量,延长患者生命,甚至治愈。
END
肝胆胰外科、胸外科简介
科室概况
肝胆胰外科、胸外科是我院集医疗、教学、科研为一体诊治肝、胆、胰、脾、疝、胸外科疾病的专业化科室,是深圳市较早一批开展腹腔镜手术的临床科室。
科室长期以来,积极开展以腹腔镜手术为主的治疗方案。常规治疗疾病谱如下:
1、肝脏疾病:肝炎、肝硬化、肝癌综合治疗、肝血管瘤、肝腺瘤、肝脓肿、肝囊肿、肝内胆管结石等;
2、胆胰疾病:胆囊结石、胆囊息肉、先天性胆管扩张症、胆囊癌、肝外胆管结石、胰腺癌、壶腹部肿瘤、急慢性胰腺炎、胰腺囊性肿瘤、胰腺真假性囊肿、胰腺内分泌肿瘤等;
3、门脉高压症、脾脏疾病等;
4、肺癌根治,各种肺结节肺叶、肺段切除术,肺大泡切除,手汗症等其中腹腔镜下解剖性肝切除、腹腔镜下胆总管一期缝合、腹腔镜下完全腹膜外腹股沟疝修补术、胸腔镜下肺癌根治术、肺段切除术、微小肺结节切除术等多项外科技术处于深圳市领先水平。
以精准肝切除为策略,肝段、亚肝段为基础的解剖性肝切除,不仅保障了手术的根治性,同时大幅度降低了术后并发症风险,在患者中取得了良好口碑。
能开展3D导航技术下各种胸部创伤治疗,单孔胸腔镜下肺癌根治,各种肺结节肺叶、肺段切除术,肺大泡切除,手汗症微创治疗等。
现开展的肝胆胰肿瘤疾病多学科诊疗模式(MDT),长期与肿瘤科合作,为肿瘤患者后续化疗、靶向治疗、免疫治疗提供强有力的后盾。承诺用个体化方案、为每一位患者做好临床服务工作。
专家介绍

肝胆胰外科、胸外科负责人
2019年宝安区中心医院三好专家
个人擅长
在肝胆胰相关的结石、肿瘤疾病方面具有深入的研究及独到的见解,擅长运用新技术及研究成果指导临床工作,实施最佳的个体化治疗方案。在腹腔镜半肝切除、腹腔镜解剖性肝段/叶切除、肝尾状叶切除术、肝癌/胆囊癌根治术、复杂肝胆管结石微创治疗、门脉高压断流术、胰腺肿瘤切除、腹膜后肿瘤手术、腹壁疝的腔镜治疗、胸腔镜下肺大泡、肺叶切除等具有深厚的造诣。
社会任职
广东省医师协会肝胆外科医师分会肝脏学组成员、广东省医师协会肝胆外科医师分会青年医师专业组成员、广东省健康管理学会消化内镜MDT协会常务委员、广东省医疗行业协会微创外科管理分会委员、深圳市医学会肝胆胰外科专业委员会委员、深圳市医学会疝与腹壁外科专业学组委员、深圳市医师协会胸外科医师分会理事、深圳市抗癌协会西部肿瘤专业委员会委员等。
向下滑动查看更多
供稿/ 肝胆胰外科、胸外科 邱振雄
编辑/健教科 钟静娴
排版/健教科 郑涵




