使用ai后
我瞬间能理解领导的心情了
因为有时候AI
根本听不懂我需要什么
我的部门手下现状:
聪明但不干活的工贼 deepseek 愚蠢但勤劳的牛马豆包 不加预算请不起的留子chatgpt 裁不掉的关系户文心一言 而我成为了那个一分钟改五版需求的领导

随着人工智能(AI)科技迭代发展
特别是深度求索(deepseek)的面世
又掀起一波AI看病热潮
宝安区中心医院引进AI辅助诊断6年
目前放射科合作的知名AI公司有4家
每天处理肺结节近百例

那么医生与AI这一课题又是怎么对话的呢?
我们给医生和AI一个引题
👇👇👇
你知道吗?每10个做胸部CT的人中,就有2-3人会发现肺结节。面对报告单上的'小结节',有人焦虑到失眠,有人盲目乐观……如何让诊断更精准、服务更人性化?
一起来看看影像科医生与AI的“联合作战”,看看医生与AI是怎么改变肺结节诊疗的未来!


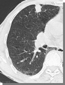
超强筛查力:AI能在秒级内扫描CT图像,精准揪出<5mm的微小结节,避免肉眼遗漏。
风险预警:通过分析结节形态(毛刺、分叶等),快速生成恶性概率评分,辅助分级管理。
基层福音:在医疗资源不足地区,AI可大幅提升早期肺癌筛查覆盖率。



综合研判:结合患者年龄、吸烟史、肿瘤标志物等,动态调整诊断策略(比如“观察”还是“活检”)。
破解疑难:对AI易混淆的炎性结节、钙化灶等,凭借临床经验“去伪存真”。

全程守护:从诊断到随访,制定个性化方案,同时疏导患者心理压力。

医生优势
临床经验结合影像学表现(如CT、PET-CT等),能对肺结节的形态、密度、生长速度等进行动态判断。

结合患者个体差异(如年龄、吸烟史、家族史)综合评估恶性风险,减少漏诊罕见或不典型病例。
基于大数据训练的算法可快速筛查海量影像数据,对微小结节(<5mm)的识别敏感性高,尤其适合早期筛查。

避免因医生疲劳或注意力分散导致的漏诊。


宝安区中心医院较早成立肺结节多学科联合诊治团队,结合多学科知识(如感染、结核、良性钙化等)区分良恶性结节,减少假阳性。

通过随访策略调整(如短期复查或穿刺活检)动态验证诊断。
对标准化影像特征(如毛刺征、分叶征)的分析一致性高,减少主观判断差异。

宝安区中心医院早在2022年就成立“肺结节多学科联合诊治团队”能提供全流程管理:从筛查、诊断、治疗到随访,制定个体化方案。整合多系统疾病信息(如合并慢阻肺、心血管病)调整诊疗策略。

快速完成初筛,降低基层医疗机构的漏诊率。
提供标准化报告和风险分层建议,提升工作效率。

临床思维灵活,可处理复杂病例(如多发性结节、转移瘤鉴别)。
掌握最新指南和循证医学证据,结合患者需求调整决策。
基于最新文献和全球数据库更新模型,知识迭代速度快。
对影像特征的定量分析(如三维重建、体积测量)更精确。

通过医患沟通解释病情,缓解患者焦虑(如对"肺结节=肺癌"的误解)。
宝安区中心医院能提供心理支持,帮助患者权衡治疗风险与获益(如手术vs观察)。

关注患者生活质量,制定个性化随访计划。
AI的短板
AI无法独立完成问诊、查体、多学科会诊等复杂服务。
AI缺乏情感交互能力,无法读懂患者的恐惧(比如“结节=癌症?”的焦虑),无法回应患者的情绪需求。
AI依赖高质量影像数据,对特殊体型或罕见病例易“卡壳”。
AI的标准化建议可能忽视患者的个性化诉求(如高龄患者对过度检查的抗拒)。
AI易将某些良性病变(如炎性假瘤、肉芽肿)误判为恶性,缺乏对非影像因素(如患者症状、实验室检查)的综合分析能力。
AI无法理解医学决策的伦理和社会因素(如患者治疗意愿、经济条件)。
日均阅片数百张,疲劳可能导致漏诊。经验差异可能影响判断一致性。
AI初筛+医生复核:AI标记可疑结节,医生重点分析,效率与准确性双提升。
动态随访系统:AI自动对比历史影像,预警结节生长趋势,医生决策更从容。

多学科联动:宝安区中心医院具有钱有辉教授(深圳市医学会胸外科分会主任委员、原深圳市第二人民医院胸外科主任)、胸外科、呼吸内科、放射科、病理科、肿瘤科、手术麻醉科等组成的多学科,联合诊治AI整合影像、病理、基因数据,助力医生制定精准治疗路径。
多模态学习:融合CT、PET、液体活检等多维度数据,让诊断更立体。
因果推断AI:不仅识别结节,还能解读“为什么长结节”(如感染史、环境因素)。
个性化随访:根据患者生活习惯、基因风险,AI智能推荐复查时间。
医生角色转型:从“读片者”变为“健康管理师”,更多时间用于沟通与决策。
AI情感辅助:开发焦虑指数评估模型,提醒医生关注患者心理状态。
发现肺结节别恐慌!90%以上是良性。
选择“AI辅助阅片+资深影像科医生诊断”的机构,双重保障更安心。
主动参与决策:与医生充分沟通自身需求(如高龄患者避免过度检查)。

AI不会取代医生,但会用“超级大脑”赋能医疗;医生不会被技术束缚,而是用智慧与温度驾驭AI。未来已至,这场关乎生命的“人机协作”,终将让更多肺结节患者受益于精准与温暖并存的医疗服务!
科学看待肺结节,拒绝盲目焦虑!
深圳市宝安区中心医院长期致力于
肺结节AI+影像医生诊断+多学科联合诊治服务模式。
注:(以上内容为医生与deepseek、豆包共同完成)
放射科简介
放射科是一个综合应用多种设备的医学影像科,承担着全院的影像学检查及诊疗工作。目前科室具有完整、严格的规章制度管理体系,并建立了一整套规范的检查及诊断程序,完成了放射科从单一的传统放射到现代影像的跨越,随着医学影像学的发展,科室近几年来加快了向数字化发展的步伐,基本形成了现代医学影像学体系。科室常年邀请中山大学附一院放射专家团队来我院作专题讲座、病例会诊和疑难病例点评,通过加强与国内顶级教学医院协作,使科室的诊断达到省内较高水平。
专科介绍
放射科设备简介
1.美国GE公司高场强磁共振机(MR)适用于人体各部位的扫描检查,在中枢神经系统、脊椎、肌骨系统、泌尿生殖系统及软组织的应用更具优势,并全面配备功能成像技术及高级后处理工作站,满足多种临床高级应用。
2.西门子高端双源Force CT,美国GE公司多排螺旋CT机,方舱CT台,适用于人体各部位扫描检查,具有图像清晰、分辨率高、辐射剂量低等优点。
3.美国锐柯公司双板数字化拍片机(DR),移动DR,适用于人体各部位拍片; 双能量X光骨密度仪。
4.日本岛津公司多功能数字化胃肠机,用于胃肠道、泌尿系、子宫输卵管等各种造影检查,及人体各部位拍片,并具有大范围拍片拼接功能;数字化乳腺钼靶机;
5.放射科所有检查设备均配备云胶片和自助取报告(片)系统。
科室就诊环境优美,专科设备齐全。
团队介绍
学科共有职工50人,其中诊断组(29人),技术组(14人),护理及综合服务组(7人);高级职称共有正高(5人),副高(7人),中级(18),初级(20人);学历结构:博士2人,硕士8人;宝安区高层次人才3人;宝安区紧缺人才引进“1000工程”3人;宝安区中青年骨干高级专科医生培养对象入选1人。
诊疗能力
常规放射检查、CT检查、乳腺摄影、磁共振成像、骨密度测定等。1.慢病为主的影像学筛查、诊断、评估及随访,配合医院慢性病管理和全科病房的影像诊断工作,做好慢性病的影像学的随访和评估及健康管理技术开发与评估;2.社康一体化影像的构建工作(影像诊断中心);3.肺部疾病早期影像学研究(肺结节筛查);4.脑重大疾病影像学研究(脑卒中方面);5.胃肠道肿瘤及炎症的影像学诊断。
专科特色技术
远程放射诊断,院本部放射科与各社康中心放射检查通过互联网远程诊断,提高整体放射诊断水平;开展CT多期增强技术和各部位CT三维重建技术,消化道螺旋CT成像、螺旋CT仿真影像学、螺旋CT尿路成像、齿科三维重建、内固定支架透视技术等广泛应用。急诊CT动脉造影,达到快速、准确诊断主动脉综合征、肺动脉栓塞、脑卒中等急重疾病;开展MR检查特色技术和功能成像,满足临床专业的磁共振检查需求,在全身类PET技术、MRI脂肪定量分析、ASL、DTI、DWI联合对脑梗死的诊断研究、高分辨磁共振血管成像临床研究、椎-基底动脉迂曲扩张症的CTA、MRA的影像诊断、前列腺、乳腺MRI多模态诊断等广泛应用。
专家介绍

张雪峰
一言一行不忘医德准则,一举一动常思患者痛苦
党支部书记
放射科主任丨学科带头人
医学博士丨教授丨硕士研究生导师
【学术任职】
美国霍普金斯医院访问学者
欧美同学会医师协会青年委员会常务委员
中国研究型医院学会肿瘤影像诊断委员会委员
广东省医学会放射医学分会头颈学组委员
广东省临床医学会放射诊断专业委员会常委
广东省胸部疾病学会胸部影像专业委员会常委
广东省医院协会医学影像中心管理专业委员会委员
广东省卒中学会医学影像分会委员
深圳市医学会第九届放射专业委员会副主任委员
深圳市医师协会放射医师分会第三届理事会副会长
深圳市医院协会放射学管理分会副会长
深圳市中西医结合学会放射专业委员会副主任委员
深圳市健康管理协会放射专业委员会常务委员
深圳市放射诊断质量控制中心委员
深圳市宝安区医学会放射专业委员会主任委员
【学术经历】
从事CT、MRI影像诊断工作二十余年。主持省自然科学基金项目及市级科研项目多项。在国内外专业期刊发表论文多篇,参与编写影像学专著二部、全国高等院校本科规划教材一部,主编医学影像学专著一部。《中国CT和MRI杂志》、《CT理论与应用研究》、《内蒙古医学杂志》等期刊编委、审稿专家。
【擅长】
各系统常见疾病及疑难病例的影像学诊断,特别是中枢神经系统及腹盆疾病的CT、MRI技术应用及影像学诊断。
向下滑动查看更多
审核/朱兴镇
责编/宣教科 邹志雁
审校/宣教科 魏子珊
编辑/宣教科 农琪珍
校对/放射科 张雪峰
供稿/放射科 黄泽弟



