
这年头,养猫养狗的人越来越多了。
因为爱,很多人会把它们当作家庭中的一份子,同吃同住同睡。

面对这样的萌宠,虽然小编也忍不住亲亲抱抱举高高,但还是要给各位铲屎官们提个醒儿:
不要与汪星人喵星人过分亲密
因为那些萌呆呆、毛茸茸的可爱后面,有你看不见的寄生虫......

4岁娃肚大如孕妇,体内抽出2斤寄生虫液!
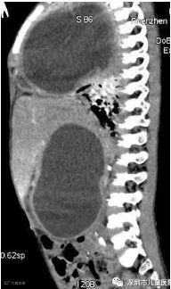
近日,深圳市儿童医院接诊了一位4岁小病号京京(化名)。
其胸腔和肚子高高鼓起,像怀胎6月的孕妇,肚皮上的血管也凸了起来。

医生对他的肚子进行了CT检查,结果显示,京京右侧胸腔及右侧腹腔,各有一个巨型囊肿。
囊肿压迫了肺部,京京随时都会有生命危险,必须尽快处理掉。

这两个吓人的囊肿,究竟是啥?
京京在中山医学院做了进一步检查,结果显示他患有包虫病。
这个检查结果,让手术难度大大增加。
因为包虫病囊肿内必然有大量的棘球蚴幼虫,若不小心导致囊壁破裂,囊液中含有的大量棘球蚴会造成胸腔、腹腔感染,同时可能引发过敏性休克,导致死亡。
经过专家们反复讨论,手术方案最终形成,医生从京京的两个囊肿里抽取了足足有1000多毫升的囊液!

这虫是怎么跑到京京肚子里的?
京京妈妈告诉医生,京京曾跟随奶奶到新疆的姑姑家生活了半年,或许这就是原因所在。
因为新疆、青海、宁夏、内蒙和甘肃等畜牧业发达的省区,是包虫病的高发地。
看到这儿, 可能有人觉得这病离自己很远,毕竟又不住牧区。
其实不然,如果你们家养宠物,那就得当心一点了。
因为——

包虫容易寄生在狗的小肠内
亲密接触狗狗,当心感染“包虫病”
包虫病,是人感染棘球绦虫的幼虫(棘球蚴)所致的慢性寄生虫病。
成虫只寄生在狗(少数情况下也可寄生于狐狸)的小肠内,叫狗绦虫。
狗绦虫长3~6毫米,共有4节;头节有吸盘和小钩,钩在狗的肠壁上,中间两节为生长节片,末节为妊娠节片,内含大量虫卵,随狗粪排出体外。

此时,虫卵可能通过以下途径进入人体:
虫卵的粪便可能会沾染在狗的皮毛上,人如果和狗过于亲密,可能会污染手,若是不及时洗手就吃东西,就很容易被传染。
若是粪便污染了蔬果、餐具、水源,人误食后可能把虫卵囊带到人体内繁殖。
在干旱多风地区,虫卵随风飘扬,也有经呼吸道感染的可能。
一旦感染人体,这些虫卵就有可能在人的胃或十二指肠内孵化出幼虫,并很快钻出肠壁,钻进肌肉里、眼睛里、肝脏里、血管里、肺里,甚至进入脑子里。
咦~想想就恐怖!
就在几年前,湖南的铲屎官王女士就中招了。
此前,她因为左上腹疼痛到医院检查,结果被查出患有肝包虫囊肿。
肝包虫在她的肝脏上“筑窝”了,手术切出来的肝包虫囊液竟然有2斤!

包虫囊(图源/网络)
究其原因,主要是因为她和自己的宠物狗过于亲密,几乎都睡在一起,导致小狗身上的寄生虫感染了她。
各位铲屎官们是不是怕怕的?
其实也没必要过于担心,做到这几点就能轻松预防。
家有宠物,一定要做到这5点
1、定期给狗狗注射狂犬疫苗及驱虫
2、别乱给狗吃东西
不要让狗狗在外面捕食,不要给狗狗喂生肉,以免吃到被感染的动物或是受污染的食物,最好给其喂熟食或狗粮;
3、不要与狗狗接触过于亲密
如嘴对嘴喂食、接吻、长期共眠等,抚摸过狗狗后要洗手。
特别是小孩子,不要过多地和宠物狗玩,以免误食包虫卵。

4、清理狗狗粪便要谨慎
清理宠物粪便时,不要用手直接接触粪便,最好拿塑料袋或厚纸包裹。清理后,要用肥皂洗手。
5、少接触流浪动物
人和宠物都少接触卫生不明的流浪动物(尤其是狗),因为相对于家养的,它们会有许多不明健康因素。
尤其给它们投喂食物和饮水时,一定要注意卫生,千万别亲吻卫生不明的流浪动物。
若要收养流浪动物,要先带到宠物医院打预防针(包括狂犬病疫苗等),同时治病、驱虫、清洁。

各位铲屎官们一定要拿小本本给记好了!这样既是对自己的健康负责,也是对小动物们的生命负责。
除此之外外,预防寄生虫,还要特别管住嘴!
尤其是以下这些食物,最好少吃。
5类食物暗藏大量寄生虫,再美味也别吃
福寿螺
福寿螺是广州管圆线虫的中间宿主,每只福寿螺内含广州管圆线幼虫多达3000-6000条。
人食用生的或加热不彻底的福寿螺后即可被感染,一旦进入人体后,它会将人类大脑作为主要攻击对象。
生鱼片
不少人认为海鱼不会长寄生虫,其实不然,带鱼、鳕鱼、黄花鱼都容易感染异尖线虫。
还有人认为生鱼片用酱料和醋拌过,就能杀死其中的寄生虫,可以放心食用。
但事实上,一般的调味品是很难杀死寄生虫的。

醉虾醉蟹
虾蟹体内容易寄生肺吸虫囊蚴,若吃了未煮熟的虾蟹,肺吸虫就会进入人体内,寄生在肺部,不但会引起咳嗽、咯血,还会侵入脑部和其他器官,引起更严重的后果。
带血猪牛排
吃带血的猪牛排容易将猪和牛体内的绦虫卵吃进体内,绦虫卵进入人体肠道内会发育为成虫,吸附在肠壁,并不断生出新节片。
所以,牛排最好选全熟的,因为七八分熟也不保险。
荸荠、菱角等水生植物
寄生虫不仅只寄生在动物身上,一些水生植物也会有。
例如荸荠、大菱角、水红菱角、茭白和莲藕,很容易寄生一种叫姜片虫的寄生虫。
若是生吃了它们,或用牙去啃皮,就会把姜片虫的幼虫食进肠内而致病。
所以,建议尽量别生吃菱角、荸荠、莲藕等水生植物。

牛蛙
蛙蛇类动物体内,通常寄生着一群裂头蚴。吃下肚后,它会穿肠破壁,钻进内脏、皮下、大脑,并形成包块,长期存活下来。
像很多人爱吃的田鸡火锅、爆炒田鸡、凉拌蛇皮等,都属于 “高危菜式”。
总之,预防虫从口入就三个点:
不喝生水 不仅是不要喝野外池塘河里的水,井水也不能直接喝。
不吃生食 特别是肉类,吃时一定要煮熟,半生不熟的也不推荐,尤其涮火锅时。
生熟分开 砧板、菜刀、容器,最好生熟分开,避免交叉感染。
右下角你点一个“在看”
小编工资涨5毛

编辑:木木
大家都在看
性生活后,千万别这样吃避孕药!21岁女生因此中风......
11岁男孩丁丁塞进70颗小珠子!背后原因,很多大人都难以启齿
结扎,男的做好,还是女的做好?扎完后,精子、卵子都去哪里了?

这里点一下,小编工资涨5毛

