
进度一:浅龋
烧钱指数:★☆☆☆☆

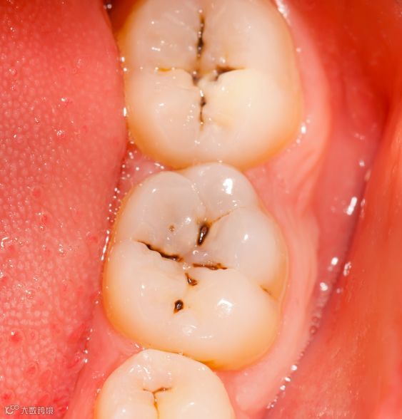
进度二:中龋、深龋
烧钱指数:★★★☆☆

进度三:牙周炎、根尖周炎
烧钱指数:★★★★☆

进度四:拔牙
烧钱指数:★★★★★
刷毛和牙龈保持45°;
小幅度震动、每颗牙依次刷干净;
别漏掉牙齿的死角,每个面都要刷到、舌头也别放过;
认真刷够3分钟。
-《中国家庭医生》杂志社新媒体中心原创出品 -
转载须得授权,侵权必究
右下角你点一个“在看”![]()
小编工资涨5毛
编辑:阳阳/瑞瑞周

家庭医生

进度一:浅龋
烧钱指数:★☆☆☆☆

进度二:中龋、深龋
烧钱指数:★★★☆☆

进度三:牙周炎、根尖周炎
烧钱指数:★★★★☆

进度四:拔牙
烧钱指数:★★★★★
刷毛和牙龈保持45°;
小幅度震动、每颗牙依次刷干净;
别漏掉牙齿的死角,每个面都要刷到、舌头也别放过;
认真刷够3分钟。
-《中国家庭医生》杂志社新媒体中心原创出品 -
转载须得授权,侵权必究
右下角你点一个“在看”![]()
小编工资涨5毛
编辑:阳阳/瑞瑞周
