
刷了这么多年牙,你真的刷对了吗?
童话大王郑渊洁在55岁的时候,才知道自己错刷了50多年的牙!
半辈子刷错牙,损失几十万!
郑渊洁从3岁开始,每天刷5次牙,饭后必刷牙,一直没有什么龋齿问题。直到55岁的那年,牙龈忽然开始出血,反复找医生看。花了不少钱,也受了不少罪。
郑渊洁说,“等到花了10万元的时候我忍不住问医生,你给我句实话,我这牙全部搞好要多少钱?”结果医生告诉他,大概需要50万。
郑渊洁在北京卫视《春妮的周末时光》上说,自己去各种牙科医院看牙,都只是治疗,那时候没有一个牙医询问刷牙方式,直到遇到丁鹏医生。“我才发现,以前的刷牙方式并不是完全正确的。”

牙齿真的能被刷坏!
不正确的刷牙方式,不仅是刷不干净,长龋齿、牙结石,导致牙龈出血!日积月累的错误刷法,也可能把牙齿刷坏了!
横着刷不对!
横着刷牙是不少人都喜欢方式。据有关调查显示,中国有80%的人喜欢横着刷牙。

不过:
① 这种方法无法清除掉在牙缝里的“垃圾”,
② 横着刷容易磨损牙釉质,相当于把牙齿的保护层刷掉了……会出现牙质敏感、楔状缺损等问题。

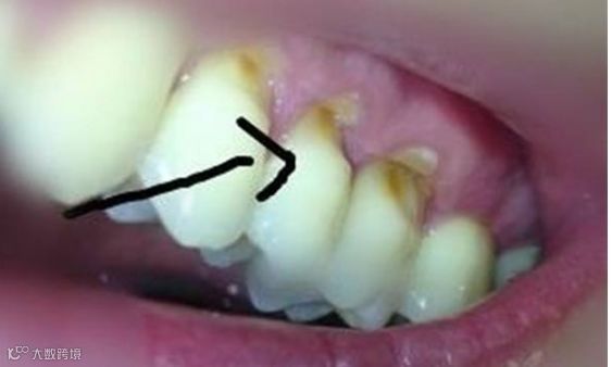
楔状缺损
竖着使劲刷也不对!
横着刷不对,那竖着刷?郑渊洁从小一直以为要竖着刷牙,但是其实也不对。

生活中有人使劲竖着刷牙,就毁了牙齿。据钱江晚报报道, 31岁的陈女士需要补22颗牙齿,就是因为刷牙方式刷错了。“当时医生让我斜着刷,但是刷起来感觉用不上劲,我知道横着刷牙又会对牙齿有损害,所以我竖着刷牙,这样能使上劲。”结果,把牙釉质都磨坏了,牙齿失去了坚硬的保护层!
花十几万买来的护牙教训!
1. 刷牙要刷牙龈
牙膏不重要,刷牙的方式才重要。刷牙要刷牙龈,牙齿和牙龈之间是有3毫米的小缝的,牙刷可以插进去,听着吓人,但其实刷的时候是没感觉的,但有一个前提,牙刷一定要用头小的,要用软毛的。
刷牙再好,也难免会有死角。可以试试换手刷,这次用右手,下次用左手,变换手来刷牙。
除了早晚,每顿饭后也是刷牙的关键时间,因为吃饭后食物的残渣会残留在口腔里边,十分钟以后它就发酵了,它会腐蚀你的牙齿,你要刷牙就没事儿了,然后我就严格照着这个做,一天吃五顿饭时就刷五次牙。刷完牙后不再吃东西了。
2. 刷牙有个45度
刷牙方法上,有这样几个注意点:
① 选择软毛牙刷,将牙刷与牙齿呈45°角。

② 从牙龈与牙齿交界的部位开始刷,上牙从上往下刷,下牙从下往上刷。
③ 刷牙要面面俱到:牙齿的外侧、里侧都要刷。
④ 刷毛顺着牙缝纵向刷的同时,要保持短距离的水平颤动10次。颤动时牙刷移动仅约1mm,每次刷2-3个牙。
⑤ 每次刷牙刷够3分钟。
⑥ 如果不到3个月时,刷头已经用得变了形,就说明刷牙时力量太大了……
戳视频学习正确刷牙方法↓↓↓
3. 去口腔异味用牙线
嘴里的异味来自于胃里的不多,主要是来自牙缝,牙缝里面那些个食物残渣制造出来的,可能去年吃的肉塞在牙缝里不剔出来,很长时间,嘴没有冰箱的作用吧,就臭了,腐烂了,而刷牙只能刷掉百分之四十左右。
我第一次用牙线的时候,弄出来以后,那个气味啊,就像卫生间马桶的味儿。自从医生教我用牙线后,现在剔出来的东西已经没什么味儿了。

郑渊洁展示如何用牙线
不要再用牙签了,牙签会把牙龈弄坏,牙齿的地基就松动了。
4. 牙龈出血赶紧洗牙
有人说洗牙必须得一年两次,其实更多的是看你平时自己的维护。维护不好的时候,一年需要洗三四次,不该洗的时候两年洗一次也行。
医生告诉我,洗牙也有个信号,就是牙龈突然出血了,赶紧去洗洗牙,洗完了,肯定不会再出血了。
当然,光洗牙还不行,洗牙只是表面的牙石,还要刮治,龈下刮治,有这个作为基础,加上我们平时的维护,这是非常重要的。
洗牙后有一些粗糙面,所以洗后一定要抛光,使粗糙面重新变得光滑,一周之内不喝茶、咖啡、吃酱油重的菜,牙齿才不容易重新附着这些外源性的颜色。
爱护牙齿,从每天正确刷牙开始吧!
来源:健康时报

如果喜欢我们的文章请动动手指分享吧!
点击右上角>>>分享到朋友圈/转发给朋友
点击右上角查看公众号>>>查看历史记录
点击右上角查看官方微信号>>>关注
微信号搜索>>>“akszcw”
“阿克苏之窗”微信公众平台,由亚洲中心时报驻阿克苏记者站主办。
联系电话:2143815( 徐先生) 2129879(康先生)

