
忙碌的生活中,很多人喜欢通过颈部按摩放松身心、缓解疲劳。但对于特定人群来说,颈部按摩也有造成健康隐患的可能。最近,南京市第一医院接诊的王先生(化姓),就是因为颈部按摩,引发了“大问题”。
按摩颈部,“三好”青年突发脑梗死
王先生今年35岁,是朋友眼中公认的“三好”青年,平时不吸烟不喝酒,身体倍棒且酷爱运动,运动后常用筋膜枪按摩颈部、放松肌肉。一次晨练过后,王先生像往常一样使用筋膜枪按摩颈部。不一会儿,王先生突然出现了口角歪斜、言语不能、右侧偏瘫等症状。会不会脑梗了?王先生爱人赶紧拨打120,把他送到了南京市第一医院。
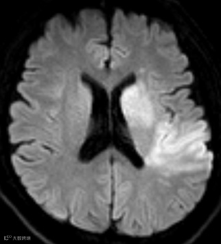
南京市第一医院是国家卫生健康委首批高级卒中中心,设有独立的神经内科急诊及脑血管病绿色诊疗通道。接诊的侯建康主治医师第一时间启动绿通,完善了头部磁共振及血管成像检查,明确了王先生急性缺血性脑梗死的诊断,而梗死原因是王先生脑内两根非常重要的血管(左侧颈动脉和左侧大脑中动脉)发生了堵塞。



生死急救,微创手术开通血管
通过微创手术的方式迅速开通堵塞的血管从而恢复脑组织的血液供应,是当下最为关键有效的治疗手段。一刻都不能耽搁!脑血管介入团队负责人施洪超主任医师下达命令,与侯建康主治医师立刻上台,为王先生进行了微创手术。
手术过程中,侯建康主治医师发现了王先生血管堵塞的前因后果:左侧颈动脉形成了动脉夹层,夹层进一步诱发血栓形成;而形成的血栓被血流冲刷脱落,进一步堵塞了远端的大脑中动脉。在施洪超主任医师指导下,侯建康主治医师使用抽吸导管将脱落到大脑中动脉的血栓抽吸了出来,随后在动脉夹层的部位植入了一枚支架以重建管腔。

两根堵塞的血管均被重新开通,脑组织迅速得到了血液供应,王先生得救了!
颈部按摩需谨慎,切忌过猛过频
“我平时不吸烟不喝酒,没有三高,也经常锻炼,怎么会形成动脉夹层的呢?”完全康复后的王先生在感谢脑血管介入团队及时救治的同时,也表达了困惑。
施洪超主任医师解释说:动脉夹层是由于各种原因导致动脉内膜损伤撕脱,血液流入血管壁内,形成壁内血肿及血栓,进而迅速造成血管狭窄、堵塞。形成的血栓若被血流冲刷脱落,甚至有可能进一步堵塞远端的血管。由于颈动脉位置表浅,如果持续受到外力刺激及损伤,如颈部按摩、快速剧烈的转颈动作、举重、瑜伽等,在特定情况下就有可能形成动脉夹层。结合病史来看,王先生的颈动脉夹层大概率是因为使用筋膜枪按摩颈部过猛、过频所致。
值得一提的是,颈动脉夹层还可导致颈部酸痛、头晕头痛、搏动性耳鸣等症状,这些症状往往发生在脑梗死之前,是重要的“预警”指标。施洪超主任医师提醒:“颈部按摩一定要谨慎,切忌用力过猛、频率过高。如果颈部按摩后出现了颈部酸痛、头晕头痛、搏动性耳鸣甚至口角歪斜、言语不能、单侧偏瘫等症状,切勿耽搁,抓紧时间就医!”
编辑:林力
责编:聂龙妃

