近日
来自江苏常州的顾先生
因身体不适
前往江阴市人民医院发热门诊求诊
顾先生表示
最近反复出现
发热、咳嗽、乏力
以及四肢肌肉酸痛的症状
并伴有心慌、胸闷等
经过诊断,最终确诊为
贝纳柯克斯体感染
引起的急性传染病
即“Q热”
这是一种可能潜伏在你身边的
罕见传染病
▼▼▼▼
2024年11月,来自常州的顾先生因身体不适前往江阴市人民医院发热门诊求诊。顾先生表示,10天前,他从非洲回国后,便开始出现发热、咳嗽、乏力以及四肢肌肉酸痛的症状,并伴有心慌、胸闷等。
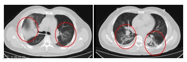
发热门诊医生详细询问顾先生的既往病史,并为其进行细致的体格检查。胸部CT结果显示,顾先生的双肺存在大面积的炎症病变。
鉴于顾先生的肺部感染情况较为严重,门诊医生立即将其收住感染科病房接受进一步治疗。
感染科医疗团队充分注意到顾先生“刚从国外归来”的特殊情况,并结合非洲当地的流行病学背景,高度怀疑其可能感染了某种特殊病原体。医疗团队为顾先生安排了支气管镜检查,并通过灌洗液的基因检测技术,最终锁定了致病元凶——贝纳柯克斯体,即“Q热”。
在感染科医护团队的精心治疗与细致护理下,顾先生的发热、咳嗽、胸闷等症状逐渐缓解。复查的CT结果显示,肺部炎症情况得到了明显的改善。目前,顾先生已经顺利康复出院。
什么是Q热
Q热的主要传染源
感染Q热会有哪些症状?
是否有特效药治疗?
大家物尽其用,不要浪费东西
我们的闲置物品
或许恰恰是别人的必需品
点击下方小程序
进入二手转让平台免费发布



