
不知道用什么辞藻去描述这些拥有灵性的图片,不知道心里装着多少华美,能把生灵用构图展现,翡翠斑斓道不尽生命中的多姿多彩,是细胞里融进了太多的物质,还是那胞质里坐拥了太多的灵异,跳荡出图画的是生命与自然的碰撞,以为科学是严谨的,以为科学就只能是严谨的,但科学何尝不能在艺术中舞动,科学何尝不能在细胞流动中再造辉煌,我们赞美这严谨中的灵性,赞美在艺术中舞动的严谨,但我们真的捉笔去再现这一切时,才发现,原来文字是苍白的,文字竟难以颂读出流动色彩的浪漫,少女的青丝、靓男的矫健、苍鹰的翱翔、骏马的奔驰、高山仰止、水清见底,我不知道这世界还有什么可以让我取类比象,去逸动你生命里的飘逸,凤凰涅槃或是脱茧蝶飞的升腾,是你生命的再造和更迭吗?作为科学研究,我们不相信,也不应该相信,世间有神灵,而神灵贮藏在生命中的每一个细胞间,可我们无法在这组画的色彩中说服自己,因为一个个细胞在色彩中舞动的分明就是那灵魂的精髓,于是让物化有了灵感、让物化不再呆板,让色彩引吭高歌,让纹理委婉道来,讲述蓝色的静谧、绿色的灿烂、黄色的阳光、棕色的沉默,于是图间的色彩演化出庞大的乐队交响,于是生命的世界用色彩张扬。感谢这些细胞的色彩,成全了我们对美好的全部幻想,由此,我们相信世界是物化的,也是沉静的,但更是浪漫的、光鲜靓丽的,色彩唤醒了我们对科学研究的向往,纹理唤醒了我们与生命单元的默契。自此,我们真的学会了热爱科学研究,更学会了爱这融进艺术的生命。
最美的秩序
无论是健康还是疾病,细胞富于秩序的排列形式都可给予我们美的感受。
传统形而上学追求具有同一性的宇宙规律,这便是秩序。他们渴望用秩序去解释世界,便建立了以秩序为基础的美学观,认为有序才是美。比如对称、黄金分割、韵律、比例等。人类最早发现,也是最简单的形式美,就是秩序美。它由各种物质材料按相同方式排列而成,其中没有明显的差异和对立因素,使人产生的是一种明净、纯洁、一致的感受。单一的色调,如蔚蓝的天空、碧绿的大海、皑皑的白雪;或整齐化一的行止,像仪仗队和集体舞蹈中横竖成行、方阵相同、步伐一律的队列;或简单的几何形体,如长短高矮相等的建筑物规格等,都属于这种形式美。同一形式连续出现的“反复”,也属于“整齐”范畴,如连续重复的花边纹饰,就给人一种单纯的节奏感和秩序感。早在古希腊时代,哲学家认定的美的主要形式是秩序、对称性和确定性。美与不美、艺术作品与现实事物,其区别就在于—在美的东西和艺术作品里,原来零散的因素结合成为统一体。

丝丝梅子熟时雨
大鼠乳腺癌骨转移,韧带胶原呈黄色波浪状,其间杂有黑染的弹性纤维,细胞核紫红色| Movat 染色|明视野

冰川
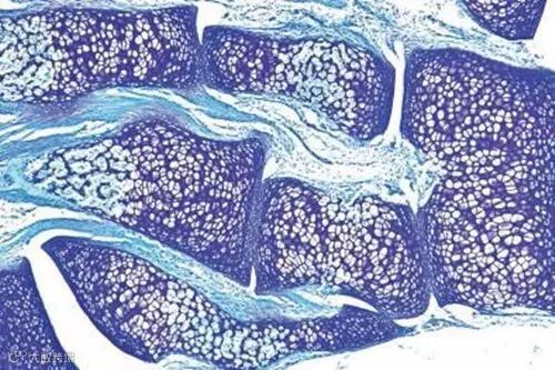
新生小鼠趾骨与趾间关节|甲苯胺蓝染色|明视野

独眼小怪兽
正常大鼠肝细胞内糖原颗粒红染| PAS 染色|明视野

炼狱
乳腺癌大鼠骨转移,胫骨横切面,癌细胞转移浸润,破坏骨质,形成缺口| SR 染色|偏振光

春水绿波
颈动脉粥样硬化斑块,玻璃样变,胶原纤维绿染| Masson 染色|明视野

时光隧道
正常大鼠股骨,骨密质哈弗系统呈同心圆排列,骨基质胶原呈红、黄、绿色,相间分布| SR 染色|偏振光

本文由李文超摘编自潘琳著《无内之物:医学显微世界之美》(北京:科学出版社,2016.8),内容略有删节改动。

ISBN:978-7-03-049020-9
生命体与疾病之间不断发生扣人心弦的故事,留下独特的痕迹。本书作者通过30 余年的医学研究积累,以其精湛的病理技术,在书中展示出对疾病的深入理解;以其敏锐的观察力,探索显微镜下视觉艺术这一全新领域。不同专业的读者均可从中汲取知识,走进医学显微镜下那创意非凡的美学新天地。

一起阅读科学!
科学出版社│微信ID:sciencepress-cspm
专业品质 学术价值
原创好读 科学品味
点击“阅读原文”可购买本书

