本文经授权转发自微信公众号
“刘小拿浮生记”
本文经授权转发自微信公众号
“刘小拿浮生记”
本文经授权转发自微信公众号
“刘小拿浮生记”
“刘小拿浮生记”
当医生叫你拍片子的时候,真的不是为了捞钱
近年来,随着《心术》、《外科风云》、《急诊科医生》这些医疗剧的热播,医生这个职业成了男神女神的代名词,大家心心念念都要找个医生男/女朋友。但与此同时,医患关系真是越来越差,层出不穷的医闹事件让人心惊胆战。有的人对着屏幕里的吴秀波张嘉译犯花痴,但真到了自己生病,却又宁愿相信百度,甚至用不知道从哪儿道听途说的方法,进行自我诊断,也不要信任经过规范培训过的医生们,总觉得他们一心只想要多开检查来捞钱,不顾病人死活。
你是否在面对医生开出的超声、CT、MRI、PET这些检查时感到不明觉厉?为什么会需要这么多种不同的成像技术?
看到“核磁”这种名词时,是否觉得有种被辐射的恐惧感?
当你发现病还没开始治就已经花了一千多的时候,是否曾困惑做个检查为什么这么贵?
今天我们就请到了在剑桥大学攻读放射医学博士的咚懂咚懂咚同学,为你科普基本的医学成像技术知识,解答你心中的疑惑。当你躺在病床上的时候,最希望你好起来的人里面,一定有你的主管医生。
1. 几种常见医学影像技术的原理
说到底,各种医学影像技术的目的就在于,看到人体内部的样子。没有透视眼的我们靠肉眼观察肯定做不到,这是因为可见光的穿透力太小。因此,我们需要找到一些能够穿透人体的东西。于是,科学家和工程师们使出了浑身解数,发明了各种奇淫巧技:
1.1
X射线成像
我们知道,光子的波长越短,光子能量越高,通常穿透力也越强。既然波长几百纳米的可见光穿透性不够,我们就来点强悍的——波长几纳米的X射线。
X射线的发现纯属意外。话说兴趣广泛又不缺经费还有妻子陪着做实验的人赢科学家伦琴于1895年意外发现了一种能使黑屋中的胶片感光的未知射线,并把它命名为“X射线”。这东西会有什么用呢?好奇的伦琴作死地用X射线照了妻子的手。震惊!他居然看到了她的骨骼:
伦琴妻子的X光片,据称是世界上第一张X光片
原来,X光能够穿过人体组织,但是穿过不同组织的时候,射线会受到不同程度的吸收,比如骨骼吸收的X射线量比肌肉吸收的量要多,通过人体后的X射线量也就不一样,于是胶片上的亮暗就反映了人体密度分布的信息。
因此X光成像原理非常简单,X射线从一端发出,穿过人体后,在另一端被探测器接收,接收到的直接就是一张二维图像,因此快捷又便宜。我们去医院拍X平片的时候,图像都是瞬间采集完成的。
X射线成像原理
一张典型(大误)的X光图像
1.2
CT
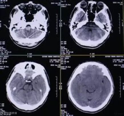
我们常见的CT其实应该被称为X ray-CT,它使用的还是X光,只是多个一个Computed Tomography(CT,计算断层成像),也就是用了一种新的成像方式而已。
我们看上边那位潮男,会发现他本应立体的鼻子在这张二维图像上完全叠在了一起,因为这是一张投影图。这时候如果某处有个病灶,我们根本看不出来它的深浅位置。
如果我们想看像切西瓜那样的一层一层的断面图呢?
那就要从不同角度去拍摄图像了,我们每旋转一个角度就拍摄一次,然后利用不同角度拍到的投影图,可以用数学算法计算出一个三维的图像,从而可以看到每一个断面的图像。这便是计算断层成像。
上图是一台CT扫描仪和它的内心世界。实际扫描如果旋转患者就太折腾了,于是攻城狮们选择让CT仪的发射和接收器自己绕着病人转起来。
头颅CT的各个断层
重点来了,X光的一大缺陷在于,它是有辐射的!尤其是CT,它在每一个角度都要拍摄一次,一次扫描下来吃的剂量也不算少了。因此,对于X光片、CT可不是扫扫更健康,电离辐射接受多了是有癌变的风险的。但也不必过于恐慌,X光和CT的剂量都是经过论证、控制在可接受范围以内的。能不能扫、该不该扫,如果拿捏不准,记住四个字:谨遵医嘱。
1.3
超声
超声波是除了X射线之外的另一种有穿透力的东西。超声成像就是通过发射和接收超声波来实现成像的。由于不同人体组织对于声波的阻抗不同,因此在不同组织之间的交界处会发生不同程度的透射与反射。通过分析反射信号,我们也能够获得体内的组织结构信息。
相比于X射线和CT,超声波对人体没有损伤,因此常用于产检。超声成像虽然图像看起来渣渣,但是它时间分辨率高,也就是说,可以实时地拍视频,而不是半天才扫出几张照片。另一个厉害之处是,超声能够测出血流流速等功能参数,对于一些血管疾病的诊断意义重大。
超声扫描仪和典型的血管超声图像(颜色代表流速和流向)
1.4
MRI
终于来到了我最爱的MRI。MRI(Magnetic Resonance Imaging,磁共振成像)图像质量好,能够成三维断面像,且没!有!辐!射!更神奇的是,MRI非常灵活,通过设计不同序列,可以成出各种不同类型的图像,既可成结构像(长什么样呈现什么样),也可成功能像(看血流、灌注情况甚至氧摄取率等功能参数),可谓功能强大。仅有的缺点大概就是——贵、慢、吵,另外,因为有强磁场,不能带非钛质金属进入。
吹完了一波MRI,简单说一下它的原理。MRI的原理较其他技术更为复杂,它基于原子核的核磁共振现象。以氢原子核为例,当它们被置于强磁场当中时,会分裂成高能态和低能态两个态。这时候如果我们打一个射频脉冲,许多原子核会从低能态跃迁到高能态,而脉冲结束后,原子核们又会逐渐恢复到原本的低能态,并释放出电磁信号。而关键就在于,有的原子核(水中的氢原子)恢复得很慢,有的原子核(脂肪中的氢原子)恢复得很快,因此就产生了可以用于成像的有对比的信号。
打个比方,你可以把各种原子核理解成班里的孩子们。为了区分出他们,你这位残忍的老师选择抽他们一鞭子(温柔点骂他们几句也可以),这时候孩子们哭着倒在了地上,但慢慢地他们又爬了起来。你会发现,坚强的孩子先站了起来,脆弱的孩子却站得比较慢,于是你只需挑选一个他们站立程度差异最大的时候,拍一张照,就可以获得一张具有对比的图像了。
更多MRI相关的有趣话题我会在下一章介绍。这里直接抛出一张新鲜出炉的MRI图像吧:
胸部血管成像图
MRI扫描仪
以上的解释如果还觉得复杂,这里引用一下丁香医生曾经的吃瓜版解释:
X光检查,就是给瓜拍个透视照挑瓜;
CT检查就是把瓜切成一片一片看瓤挑瓜;
B超检查,就是拿手拍一拍瓜,听个回声挑瓜;
磁共振检查,就是拿起瓜摇一摇,再观察挑瓜。
Source: https://www.zhihu.com/question/53315862
2. MRI的相关问答
这一章中,我将选择其中最为酷炫的MRI(其实是因为博士读了这个),回答几个大家最常见的问题。
问
核磁共振…… 这玩意儿有辐射吗?对身体有没有伤害?
答
每当我介绍到自己是在Radiology系(放射系)搬砖时,对方脸上总会流露出或疑惑或惊恐的表情,仿佛对面是一个站在磁暴线圈下的辐射工兵。这个“核磁共振”和核辐射有关系吗?
当然没有!MRI主要依赖的是强磁场和射频脉冲,只是利用了原子核的磁共振现象,并没有任何与核辐射相关的东西。事实上,医学MRI领域为了摆脱这一误解已经做出了很多努力。最初MRI叫NMRI(Nuclear),即核磁共振成像。而如今,为了照顾人们谈核色变的情绪,突出这一检查技术不产生电离辐射的优点,放射学家和设备制造商均同意把“核磁共振成像术(NMRI)”简称为“磁共振成像(MRI)”。
至于强磁场和射频脉冲对人体有没有潜在的伤害,领域内有很多专门针对MRI安全性科研组研究这一课题。迄今可以负责任地下的结论是,no evidence of harm(没有证据表明有害)。当然,这并不意味着evidence of no harm(有证据表明无害)。不过要知道,逻辑上没有什么途径能够证明一个事物是evidence of no harm的。所以目前大家大可放心,MRI比CT和X光要安全得多。话说回来,因为总给同行当被试,我以每月n次的频率已经被扫描了好多年了,至今依然活蹦乱跳(至少表面上),也算亲身验证了MRI的安全性吧。
然而,不得不提的是,虽然MRI本身对身体没有伤害,但是MRI的相关的安全事故确是时有发生,有些甚至致死。原因就在于,MRI扫描仪有一个1.5~3特斯拉的超强磁场。这是个什么概念呢?要知道,1特斯拉=1万高斯(1工程师=1万数学家?),而我们熟悉的地磁场通常在0.5-0.6高斯左右。因此,这是一个强大到你从未见识过的磁场,它强大到这种程度:
不要浪,自己走进去,不然这就是把轮椅推进MRI
扫描间的后果:直接飞向扫描仪,根本拔不下来
因此,千万不要携带任何金属进入MRI扫描室。具体的安全细则医生都会耐心嘱咐你,你所需要做的还是那句话:不要调皮,谨遵医嘱。
问
扫一次核磁共振为什么那么贵?
答
对于MRI的收费,网络和现实中这样的问题都随处可见:
对此我曾经回复过这么一个段子:
虽是玩笑,也是事实。针对MRI高昂的成本来说,国内几百上千元的收费真的不贵了,和美国$2000起的收费来说更算得上是良心价了。而这样的低价是以医学工作者低回报的辛苦付出为代价的,所以还希望大家对医学工作者多一分敬重,为了自己的健康,花这个钱很值啦。
问
核磁共振它这么贵,到底有什么科技含量?
答
一次MRI检查其实可以算作是一次亲身接近现代尖端科技的体验。一台MRI扫描仪上的每个环节都可以说来自于各自领域的顶尖科技。在文章的最后,请允许我稍带学术气息地科普一下MRI的相关黑科技。
之前提到,仅和MRI直接相关的诺贝尔奖就有5个,它们是:
第1次,美国科学家Rabi发明了研究气态原子核磁性的共振方法,获1944年诺贝尔物理学奖。
第2次,美国科学家Bloch(用感应法)和Purcell(用吸收法)各自独立地发现宏观核磁共振现象,因此而获1952年诺贝尔物理学奖。
第3次,瑞士科学家Ernst因对NMR波谱方法、傅里叶变换、二维谱技术的杰出贡献,而获1991年诺贝尔化学奖。
第4次,瑞士核磁共振波谱学家Kurt Wüthrich,由于用多维NMR技术在测定溶液中蛋白质结构的三维构象方面的开创性研究,而获2002年诺贝尔化学奖。同获此奖的还有一名美国科学家和一名日本科学家。
第5次,美国科学家Paul Lauterbur于1973年发明在静磁场中使用梯度场,能够获得磁共振信号的位置,从而可以得到物体的二维图像;英国科学家Peter Mansfield进一步发展了使用梯度场的方法,指出磁共振信号可以用数学方法精确描述,从而使磁共振成像技术成为可能,他发展的快速成像方法为医学磁共振成像临床诊断打下了基础。他俩因在磁共振成像技术方面的突破性成就,获2003年诺贝尔生理学和医学奖。
而除了最基本的核磁共振物理理论上的突破之外,MRI的实现有赖于多个不同领域的科技进步。比如能够制造出这么强的磁场,有赖于低温超导技术,其背后又蕴含了理论物理、材料科学、电气工程等多领域的尖端科技;冷却超导线圈需要的液氦,依赖于液氦的开采和提炼技术,其生产至今被美国垄断;而MRI所使用的编码成像技术、图像的采集和重建算法,都来自于数学上的理论突破。剩下的更多的则是工程上的研发,比如,MRI之所以能成出各种不同对比的图像,有赖于工程师在脉冲序列上的各种精妙设计。MRI的各个个环节汇聚了大量不同领域科研工作者的心血。它并非一项单独的技术,而是多个学科融合后的结晶。
因此,全球能真正玩转MRI的公司,主要就GE,Philips,Siemens三家,俗称GPS。如今中国也在奋起直追,已经有数家厂商能够生产MRI扫描仪,不过成像质量和GPS仍有差距。
近一段时间,大量社会负面新闻喷涌而出,也许你时常会感叹,这是个坏透了的时代。这个社会的阴暗一直存在,并会一直存在下去。但也请相信,它只是这个美好社会很小的一部分,舆论的喧嚣与反抗,就像产前的阵痛,是社会不断蜕变的一种体现。善良和光明还在,你仍然是被世界温柔以待的那一个。生病的时候,也请记得医者仁心,谨遵医嘱。


《医学影像技术学》
《医学影像技术学》由国内临床、教学经验丰富的“双师型”专家编写,内容包括医学影像技术的成像原理、图像信息、影像药物、检查技术、质量控制、安全防护等,涵盖了医学影像技术学的X线、CT、磁共振、DSA、核医学的相关内容及其全身检查技术。同时融入了医学影像技术学最新研究成果,如CR、DR的能量减影,数字融合X线体层摄影,多排探测器CT、PET/CT、SPECT等分子与功能成像技术和PACS等。
(本期责编:李文超)

一起阅读科学!
科学出版社│微信ID:sciencepress-cspm
专业品质 学术价值
原创好读 科学品味
点击“阅读原文”可购买本书



