随着各种刑侦片的流行,使用DNA调查案件的方式也走进大众们的视野。很多时候发现尸骨却无法判定死者身份时,很多人都会说,做DNA鉴定不是就可以了。
电视剧里动辄动用全套尖端科技装备,把DNA鉴定打造成可以解决所有问题的“万能钥匙”。
这种电视剧看多了就会自然而然地认为,只要有一缕头发、一滴血迹、一小块尸骨,就能够通过便携式机器将其遗传基因提取出来,并即刻明确当事人的身份。
首先,从骨骼中提取遗传基因并没有想象的那么快,而且想要从地下挖掘到的历史久远的遗骨中提取DNA以判断身份,是更加具有难度的。
因为DNA不像身份证号码,具有固定的比对系统,所以只凭DNA分析结果很难判定身份,必须有能够进行比对的样本。
除非此人生前将自己的DNA上传到失踪者DNA数据库,但这种可能性极低,更不要说20世纪80年代之前那些无法通过DNA鉴定确定身份的年代了。
但我们也不是全无办法,想要确认失踪者或嫌犯身份,可以用其亲属的DNA进行比对,这也为警方办案提供了极大的帮助。
但说回影视剧中将DNA鉴定作为万能工具的情节,可能只是为了增强趣味性而编写的桥段。当然,偶尔会有奇迹发生也说不定。
比如说锁骨在鉴定死者身份时也具有重要作用,不仅能通过锁骨判断年龄,还能通过一些手段确认死者身份。
锁骨是我们身体中最早开始形成,最晚完成连接的骨骼。还没有完全发育的青少年的左右锁骨之间有一块相当于5角硬币大小的小块骨还没有连接,这块骨要在过了25岁之后,才会完全与锁骨连接,也正因为此,才可以通过锁骨来判断年龄。
而且锁骨就像指纹一样是人体独一无二的特征,每个人的锁骨也各不相同。
与其他骨头不同,锁骨的骨密度和形态几乎是终生不变的,在加上锁骨本身是无法运动的,每个人年轻时与年老后的锁骨形态也基本没有差别。
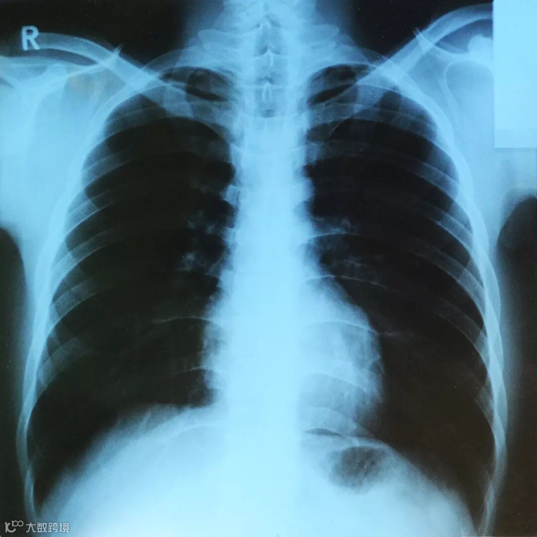
由于锁骨位于人体的最前方,所以拍X射线胸片时不会被其他骨骼或肌肉遮挡,可以清晰地看到它的轮廓。
因此,发现失踪者遗骨时,如果能够与其生前拍摄的X射线胸部照片进行对比,就能够通过锁骨鉴定身份。
两侧颧骨凸起是亚洲人的典型特征,面部是我们全身中受环境影响最小的部位。手臂、腿部以及全身的体型可以通过肌肉锻炼增大,头部形状也会因年幼时仰卧或侧卧的睡姿而发生改变,但面部却不会因此而变化。无论做怎样的面部运动,低鼻梁也不会变高,单眼皮也不会变成双眼皮。
由于颧骨存在这种特征,人们通常通过颧骨区分人种。美国田纳西大学法医人类学研究所的威廉·巴斯教授在他关于人类骨骼研究的著作中,讲述了通过人类骨骼区分人种的方法:把铅笔水平放在鼻孔下,铅笔和颧骨之间可以轻松伸进一根手指的就是白种人,否则就是亚洲人种。
虽然巴斯教授提出的区分人种的方法过于简单,但从另一个角度看,确实说明亚洲人种的颧骨与白种人的相比更向两侧凸出。

本文经授权转载自微信公众号狂丸(ID:kuangwanplay),版权归原作者所有,文章只为学术信息传播,不代表本号所持观点。文中图片素材来源于网络,如有侵权请及时联系删除。
本书是John M.Butler博士2015年最新力作的中文翻译版,由四川大学侯一平教授、司法鉴定科学研究院李成涛研究员和中国科学院北京基因组研究所严江伟主任法医师团队联合翻译。本书有很多新的内容,分为16章与4个附录,全面系统地介绍了分析和解释法医DNA分型结果的方法和最新进展,对法医DNA分型中常遇到的杂合子均衡性、伪峰、突变与随机效应、等位基因缺失、低模板DNA、混合斑等现象及如何依据分型结果来合理解释进行了深入细致的讨论。
本期编辑丨小文

一起阅读科学!
科学出版社│微信ID:sciencepress-cspm
专业品质 学术价值
原创好读 科学品味
更多好素材,期待您的来稿
与科学相约 | 科学出版社征稿启事
点击“阅读原文”可购买本书