它是人体最精妙的器官之一
看似平平无奇
却掌握着我们的思维、情感、行为方式
超长而纤细的脑血管系统
构成滋养生命智慧的通道
走进大脑的微观世界
感受一场震撼人心的生命之旅
大脑,作为人体最复杂的器官之一,是一个无比神奇的“指挥官”。
实际上,人的大脑80%都是水,剩下的主要是脂肪和蛋白质。
然而,这三种看似平平无奇的物质,竟然能组合成思考、记忆、视觉、审美等各种功能。大脑是如何实现这一切的呢?
神经元,是大脑最基本的结构和功能单位,构建了我们感知世界的基石。
我们的大脑中的神经元约有860亿个,这个数字比现在地球上人口总和的十倍还要多。
人脑的功耗大概相当于一个十四五瓦的灯泡,类似于一台冰箱的灯泡功耗。不过,大脑却可以指挥我们做这么多事情,是极端神奇的一个计算的“机器”。
如果我们把每一个神经元看作是一颗星星,那我们的大脑就像是一个非常复杂而庞大的星际宇宙,它的运转有着严密而复杂的规律。
中国科学院院士程和平指出,大脑跟宇宙的不同之处在于,脑的世界是用电脉冲来通信的。

清华大学生命科学学院的实验室里,几只小鼠刚刚出生不久,跟所有的幼崽一样,它们看上去脆弱而无助。
随着新生活的展开,年轻的大脑开始急速运转。
显微镜下,这些正在蠢蠢欲动的是神经元的树突棘,它们不断萌发、伸长,彼此靠近。

作为神经细胞之间沟通的桥梁,大脑正是通过树突棘手拉手的奇妙方式,将数量众多的神经细胞紧密相接,使得大脑中的信息得以巩固和存储。

我们平时说的“长脑子”,就是这些神经元建立新的连接。这是来自于生物进化的微观之美。
中国科学院院士、清华大学生命科学学院院长时松海说,在我们出生的前两到三年,神经连接形成的速度是非常惊人的,可以达到每秒钟超过100万个神经连接。两到三岁时,大脑里神经突触的数目达到顶峰,每个神经元可以有超过一万个神经连接。
在大脑内,即使再简单的行为,都会同步形成一个大尺度的全脑交流系统。
每个神经元平均大概有3000个连接,它们组成了整个宇宙最复杂的个体。
这些浩如星海的神经元,究竟是如何控制我们的人体的呢?
“人脑的神经元不像我们传统的其他的一些组织细胞,有一个相对独立的单元。”中国科学院院士骆清铭说,神经元是很复杂的,虽然是一个神经元,但是它会投射到很远,完全交织在一起,就像高速公路一样。

骆清铭院士认为,就好比是高速公路上到底有多少个立交桥,多少个交叉路口一样,严格意义上来讲,每一个神经元与多少个其他神经元有联系,大家都不清楚。
在神经元行动的过程中,如果某个刺激反复出现,大脑就会在相关的神经元之间形成新的连接。这些新连接就像是大脑中的“新路线”,让信息能够更快地传递和处理。

“神经系统跟其他组织最大的差别就是它的可塑性。”中国科学院院士蒲慕明认为,环境的刺激就是学习的过程,学会了代表神经系统的一个新的状态。
如此庞大的神经网络构成了神奇的大脑,虽然它的重量仅占身体的2%,却消耗着全身20%的能量,而它的高效运转,依赖着一条隐藏在颅骨之下的“生命之河”——脑血管系统。
在人类漫长的进化过程中,不断增加的大脑重量使得脑血管比其他动物更加密集。如果把所有脑血管连在一起,总长度达到16亿米,相当于从地球到月球距离的四倍。
“大家现在看到的这些标本,都是我们人体的真实的标本制作的铸型标本。”首都医科大学基础医学院人体解剖与组织胚胎学系解剖教研室主任高艳说,标本上的蓝色代表静脉,红色代表动脉。从血管铸型可以看到,脑的血管是非常密集的。与其他部位同级别的血管直径相比,进入脑部的血管直径更细。
大脑是人体代谢最为活跃的器官,如果把脑比作枝繁叶茂的大树,脑血管就是盘根错节的树根。如果没有树根汲取充足的养分,参天大树也将枯萎。

首都医科大学宣武医院神经外科主任张鸿祺认为,脑跟其他地方都不太一样,它需要大量的血液,带着氧气和营养到达大脑的脑组织中,为它提供能量,这样大脑才能正常工作。
作为供养生命智慧的通道,脑血管超长且纤细。更与众不同的是,大脑被设计成没有运动的器官,它不像心肺、肠道那样能跳动、膨胀或收缩。因此,缺乏运动的大脑血管壁比身体其他部分血管壁更薄。
高艳解释,脑的血液主要是由颈内动脉和椎动脉两大血管来供应,这两个血管进入颅内,提供脑的血液和营养。脑控制着我们的运动、感觉以及情感,它需要非常丰富的血液供应,因此脑的血管十分密集。
然而,人类对于脑血管的认识在医学史上经历了一个漫长的过程,即便是想要清晰地看到脑血管的构造,也不是一件容易的事。
著名的维尔茨堡大学位于美因河畔,1895年,在这间古老的物理实验室里,物理学家伦琴有了一个重大发现。
伦琴发现的X射线,实现了人体内部结构的成像,这让医学家们欢欣鼓舞。借助X射线,人们通过颅骨的变形情况大致推测病变位置,但是这种间接的影像对于脑部血管的成像不够理想。
当时,医生为患者拍摄大脑影像的过程中,会向患者大脑内注入空气,人们可以通过脑室的形态和位置推测大脑病变的位置,但是这种方法不仅使患者非常痛苦,而且效果不佳。
1921年,葡萄牙神经外科医生莫尼兹意识到,是否可以通过往不容易成像的脑血管中注射一种化学物质来加强图像的清晰度。
这张照片是莫尼兹将装有不同浓度化学物质的试管放入尸体大脑后,拍摄的影像。

在数十次实验后,莫尼兹发现一种叫碘化钠的造影剂在成像清晰度和安全性上都很理想。
1927年6月28日下午,莫尼兹第一次尝试将一种碘化钠造影剂从患者的颈部注入动脉,获得成功。
在造影剂的作用下,人类第一次无须打开头颅,就看到了大脑内血管的形态。
“有了血管造影之后,对于血管病的治疗就突飞猛进。”张鸿祺说,脑血管造影技术起到了非常重要的作用。只要看到了脑血管,后面就有办法解决。
随着科技的发展,不同成分的造影剂和影像设备应用在不同血管类型的显影中。现在,荧光造影剂结合核磁技术可以让医生更加清楚地看到脑血管的形态。
这是专门针对血管成像的数字减影影像,不同于普通X光片的平面影像,数字减影血管造影技术,可以将细到数微米的脑血管单独分离出来,它就像大脑血管网络的卫星导航,帮助医生更加明确血管病变的通路。
大脑就像一座永不熄灯的城市,脑血管是它的电力网络,它的使命是为大脑内时刻工作的神经元提供能量保障。
然而,这条超长的血管网,其实非常脆弱。一旦发生脑出血的情况,仅仅10秒钟就可引起意识丧失,超过五分钟就会造成不可逆的脑损伤。
一旦脑血管出现问题,我们应该如何应对呢?
这是一种大脑中常见的脑血管疾病,叫“颅内动脉瘤”,就像脑血管上鼓起的大泡泡。
此刻,奔腾的血液汹涌地流进泡泡的内部,每一次冲击,都有可能使得原本就薄如蝉翼的血管壁突然爆破。

也许一个最轻微的咳嗽,就会成为压破这个泡泡的最后一根稻草。


豆腐一样柔软的大脑组织,在突然升高的颅内压力以及不受控制的血流冲击下,遭受致命的破坏。
据统计,脑动脉瘤一旦破裂,一秒钟就会致人死亡,大概有40%的病人来不及去医院就会死亡,是人类最危险的疾病之一。
不用打开头颅就能消灭“致命泡泡”,这是医生们都迫切追寻的更高目标。
1964年7月,美国芝加哥大学的一位医生向世界介绍了他的一次大胆尝试。
他将一位动脉瘤患者局部麻醉,在他的头骨上钻孔,然后将一根不锈钢针沿着孔洞插入了大脑里的动脉瘤。紧接着,他向钢针的尖端通入电流。

电,这个外部能量的到来,打破血液原本的平衡状态,激发起了一个人体最平常却又至关重要的机制——凝血。

不断形成的血块将原本中空的泡泡栓塞成了一个实心的血球。
30多年前,在凝血实验的基础上,年轻的费尔南多医生和他的好友圭多·古列尔米教授不断尝试一种异想天开的动脉瘤栓塞方法。

他们将微型的磁铁放入动脉瘤中,然后注射直径小于红细胞的铁粉,用磁铁的吸力吸引铁粉,准确地将它们引进“致命泡泡”,刺激血液凝结。

但是因为吸引的铁粉不够多,效果不佳,之后,他又向连接磁铁的不锈钢丝导入了4毫安的电流,希望电力的加持能产生更多的血块,将动脉瘤塞满。

这时,一个意外电流让导丝断裂了,与此同时,一个能在血管内控制栓塞材料的精妙方法却应运而生。

只要材料一直与导丝相连,医生就可以像放风筝一样随时调整它们的状态,直到一切满意后,再让它们与导丝分离。
1990年3月6日,古列尔米和团队完成了世界上第一例电解脱弹簧圈的临床试验。
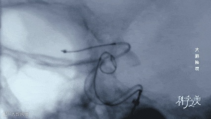
如今,微创的弹簧圈栓塞术成为治疗颅内动脉瘤的主流方式。
这些肩负使命的“迷你小战士”从大腿根部的股动脉开始,穿越大半个身体,最终到达大脑深处。

这是一个极其优雅的释放过程。在手术过程中,医生可以对释放出的弹簧圈进行收放自如的控制,如果释放效果不满意,可以重新再放,这样就大大提高了手术的安全度。

直到一切满意后,医生才会将弹簧圈与导丝分离,让它永远留在动脉瘤里。

此时,“致命泡泡”的内部,盘根错节的弹簧圈让血液逐渐变成凝固的血栓,成为阻挡后来者的坚固堡垒。这颗“不定时炸弹”被从内部攻陷。

张鸿祺介绍,神经介入是一个新发展起来的技术或学科,从一开始出现这项技术到现在,神经介入得到了广泛的应用并且发展得非常迅速。
科学解开谜题
却让美越发深邃
当我们凝视大脑的微观丛林
亿万个神经元
以电光为语言
编织着思想、记忆与梦想的图谱
蜿蜒的血管如生命之河
滋养每一处精密褶皱中的神经细胞
这是医学之美
是生物进化馈赠给人类最壮丽的风景
更是人类理解自我、探索未知的永恒渴望


专业品质 学术价值
原创好读 科学品位
一起阅读科学

