
碳酸饮料虽然解渴、好喝,但是从养生保健的角度分析,爱喝碳酸饮料并不是什么好事。专家通过研究发现,经常喝碳酸饮料会给身体造成伤害,甚至会引发疾病,特别是正在长身体的小朋友们,碳酸饮料真得不易多喝,甚至应该杜绝。生活中,爸爸妈妈告诫你们不要总喝碳酸饮料也是对的,因为你们的健康最重要!接下来,娇娇妈就告诉你爱喝碳酸饮料会造成怎样的伤害,一起来看看吧。
1.影响消化系统的功能——胃会不舒服

碳酸饮料喝得太多对肠胃非但没有好处,而且还会大大影响消化。因为大量的二氧化碳在抑制饮料中细菌的同时,对人体内的有益菌也会产生抑制作用,所以消化系统就会受到破坏。特别是年轻人,一下喝太多,释放出的二氧化碳很容易引起腹胀,影响食欲,甚至造成肠胃功能紊乱,引发胃肠疾病。另外,二氧化碳的抑菌功能没有选择性,对肠道内的诸多有益菌也有破坏作用。常喝碳酸饮料的孩子营养的摄入会渐渐跟不上,不利于身体的发育。
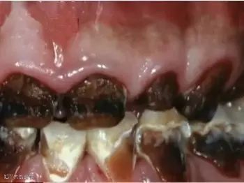
2.增加患龋齿的风险——牙牙不美观

这副牙齿!!!虽然有点难以置信,但确实是真的牙齿,叫做“可乐牙”。众所周知,碳酸饮料是一种酸性的液体,在与牙齿接触时会腐蚀表层的牙釉质,会让牙齿变得越来越敏感,无法承受正常程度的冷热酸甜,长此以往就会把一口好牙变成了“可乐牙”!生活中,有人用喝剩下的可乐刷马桶、去水垢、去锈等,效果很好,就是因为可乐中所含有的磷酸对那些顽固的污垢具有瓦解作用。如果长期大量地喝含有磷酸的饮料,对牙齿真的也具腐蚀性的破坏作用。
怪不得娇娇妈以前喝碳酸饮料,每次喝完都觉得牙齿涩涩的,一点都不光滑,原来是牙釉质这层保护膜被饮料中的酸腐蚀啦!好可怕!
3.影响骨质——骨头变脆弱

虽然我们人体的骨骼很坚硬,可是长期饮用碳酸饮料也会导致骨质疏松,因为碳酸饮料中含有的酸味剂——磷酸,它会改变人体的钙、磷比例,小朋友尚处在长个子的阶段,对钙质的需求是非常大的,在大量摄入富含磷酸的碳酸饮料后,会影响钙质的吸收,长此对小朋友的骨骼发育非常的不利。此外,研究显示,过量饮用碳酸饮料的人骨折危险会增加大约3倍;青少年喝过多的碳酸饮料不仅对骨峰量可能产生负面影响,还可能会给将来发生骨质疏松症埋下伏笔。
4.缺铁性贫血——头脑会发晕

殊不知,碳酸饮料中的磷酸还会阻碍铁质的吸收。铁是制造血液的主要材料之一,如果一旦铁质不够,会引起缺铁性贫血。在生长发育中的青少年,也正需要足够的铁质来完成快速造血。尤其是青春期少女,在生理期间,铁的需要量更高,所以爱喝碳酸饮料的女孩要警惕哦~
5.造成肥胖——体态变臃肿

有研究发现,饮用碳酸饮料和体重增加有着密切的联系。碳酸饮料中含有高热量的糖分,而且越喝越上瘾。在日常生活中,儿童和青少年对碳酸饮料的喜爱相比成年人更是没有抵抗力,我们身边出现了越来越多的小胖子。从学龄前儿童青少年到成人,长期大量饮用含糖饮料都可能引起体重增加导致肥胖,令人担忧。
6.加剧衰老——容颜被“摧毁”

《美国公共卫生杂志》指出,常饮碳酸饮料会加剧身体老化程度,危害堪比吸烟。研究表明,每天饮用227 毫升碳酸饮料的人,其身体较实际年龄相比老化约1.9岁,而每天饮用566毫升碳酸饮料的人则老化约4.6岁。小小的一瓶可乐,即使每天只喝一瓶,都会让你的身体老化4.6 岁。所以,那些喜欢碳酸饮料的人还是节制一下为好。
娇娇妈深深地被吓到了,先去喝一杯夏日特饮凉白开压压惊~
家长和小朋友们,知道了碳酸饮料对人体的危害后,是不是要管住自己的嘴巴,少喝甚至不再喝碳酸饮料啦~可是有人一时半会戒不掉碳酸饮料怎么办,要用什么来代替呢?答案是可以适量的选择新鲜蔬果汁来替代碳酸饮料,有口味也有营养。

蔬果汁用新鲜的且未经煮过的蔬菜和水果榨汁而成,保持了天然的营养成分,每天喝1~2杯,并持之以恒,可以帮助人体补充维生素、矿物质和膳食纤维,不仅可以达到健康养生的目的,而且色泽艳丽,还可以让视觉和味觉得到双重享受,进而减少对碳酸饮料的依赖。

最后,家长以及小朋友一定要知道的就是碳酸饮料的种类都有哪些。
碳酸饮料的种类
果汁型碳酸饮料:指原果汁含量不低于2.5%的碳酸饮料;
果味型碳酸饮料:指以果香型食用香精为主要赋香剂,原果汁含量低于2.5%的碳酸饮料;
可乐型碳酸饮料:指含有焦糖色、可乐香精或类似可乐果和水果香型的辛香、果香混合香型的碳酸饮料;
低热量型碳酸饮料:指以甜味剂全部或部分代替糖类的各型碳酸饮料和苏打水,热量低于75kJ/100mL;
其它型碳酸饮料:指含有植物抽提物或非果香型的食用香精为赋香剂以及补充人体运动后失去的电解质、能量等的碳酸饮料,如运动汽水等。

来源:网络




