薄荷/作者
安东/编辑
白桦/审核




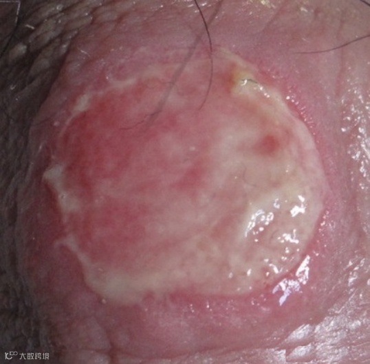
在男男性行为群体的圈子里,人们一直关注的都是HIV,觉得梅毒可以治疗就没多在意。其实,梅毒对身体的危害也不小的,从今天开始,应该引起重视。
另外要非常非常非常严肃提醒一下:感染过梅毒的人,血液检测会呈梅毒抗体阳性,这个抗体阳性仅仅代表曾经感染过梅毒,是一个标记。并不代表对梅毒产生了免疫力。如果再继续乱来,依然有可能再次感染梅毒。
唯愿世界上有一天再也没有尖锐湿疣,没有梅毒,没有艾滋,没有生殖器疱疹,没有淋病,没有任何性病,大家可以无忧无虑的和自己相爱的人愉快地生活!



