近日,鄂尔多斯市中心医院胸心血管外科郭振平主任团队应用腾复医疗自主研发的国内首款Tendvia®肺动脉取栓支架系统,成功为1名急性肺栓塞患者实施机械取栓手术。

手术在团队的精准操作和密切配合下顺利完成,不仅体现了团队的专业实力和丰富临床经验,也进一步验证了Tendvia®肺动脉取栓支架系统在肺栓塞治疗领域的广阔应用前景,其独特的“支架取栓+负压抽吸”协同技术,能够高效清除血栓,为患者提供更安全、更有效的治疗方案,推动我国介入治疗迈向更高水平。
患者:女性,65岁。
主诉:突发呼吸困难伴胸痛7小时。
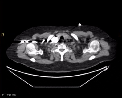
现病史:患者入院7小时前无明显诱因突然出现呼吸困难,一过性意识不清,呼吸困难并呈进行性加重,伴胸痛,咳嗽或呼吸时加剧。未做特殊处理。急至鄂尔多斯市中心医院急诊科。行肺动脉CT检查提示:双侧肺动脉及部分分支栓塞,B超提示:左下肢腓静脉血栓形成,右下肢肌间静脉血栓形成。为进一步诊治收入院。本次发病以来,患者无发热、盗汗,有心慌、心悸,有头痛、头晕,无恶心、呕吐,无腹痛、腹泻,精神饮食睡眠一般,二便可。
既往史:胆囊切除外科手术史。
初步诊断:
肺栓塞
双下肢深静脉血栓形成
术前CT
为迅速清除血栓以降低其高危恶化风险,经综合评估后,郭振平主任团队决定为患者实施肺动脉机械取栓术。
手术名称:
下腔静脉滤器置入术
经皮肺动脉取栓术
肺动脉造影术
器械选择:
Tendvia®肺动脉取栓支架系统
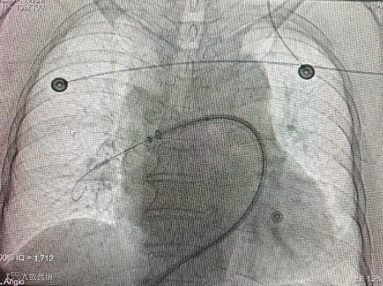
常规消毒铺巾,局麻后穿刺右股静脉成功后,置入血管鞘,行肺动脉造影术,提示右肺动脉上叶支主干栓塞。


术前造影
术中建立通路,抽吸导管沿超硬导丝送至右肺动脉,管口贴近血栓处停止,撤出内芯,将Tendvia®取栓支架沿导丝通过抽吸导管向前推送,再回撤输送鞘,支架自动打开,连接负压抽吸器(60ml专用大注射器),回撤取栓支架的同时旋转开关释放负压,血栓在支架及负压的作用下进入抽吸导管中并被带出体外。

取栓中
手术结束,将所有导管、鞘管撤出,穿刺点加压包扎。手术过程顺利,患者术后各监测指标平稳,安返病房。

术后造影
取出的血栓
肺动脉栓塞(Pulmonary Embolism,PE)是由各种栓子阻塞肺动脉或其分支所引发的一组疾病或临床综合征,其类型包括肺血栓栓塞(PTE)、脂肪栓塞、肿瘤栓塞等,其中PTE为肺栓塞的最常见类型。引发PTE的血栓多起源于下肢深静脉血栓形成(DVT)。PTE和DVT合称为静脉血栓栓塞症(VTE),是VTE在不同部位、不同阶段的两种临床表现形式。根据发病时间,可分为:急性、亚急性和慢性肺栓塞。其中,急性肺栓塞全球年发病率为(39~115)人/10万人,是VTE最凶险的临床类型,其死亡率在心血管疾病中排名第三,仅次于冠心病和卒中。据2014年欧洲心脏病学会危险分层模型预测,高危肺栓塞患者30天病死率达20%以上。
标准抗凝与药物溶栓作为肺栓塞的基础疗法,在轻中度病例中可有效控制病情进展。然而,针对大面积肺栓塞患者,药物溶栓存在显著局限性:血栓清除效率不足、出血并发症风险增高。更值得注意的是,治疗后的残余血栓可能导致慢性血栓栓塞性肺动脉高压(CTEPH)等远期并发症。得益于介入技术的发展,经皮机械取栓术已成为当前PE治疗体系中的重要组成部分,其安全性和有效性为临床治疗提供了新的选择。
2024年5月,腾复医疗自主研发的国内首款机械取栓医疗器械-Tendvia® 肺动脉取栓支架系统(国械注准 20243031010)获国家药品监督管理局(NMPA)批准上市。通过取栓支架和负压抽吸协同取栓的方式,Tendvia® 肺动脉取栓支架系统为肺血栓的临床治疗提供了一种全新的解决方案。
点击观看产品介绍【Tendvia 肺动脉取栓支架系统】
适用范围/预期用途:
该产品适用于有下述情况之一的急性高危肺栓塞或伴临床恶化的中危肺栓塞的经导管血栓清除治疗:
1、有肺动脉主干或主要分支血栓,并存在高出血风险或溶栓禁忌的患者;
2、有肺动脉主干或主要分支血栓,并经溶栓或积极的内科治疗无效的患者。
产品特点:
1、取栓支架+负压抽吸,同步机械取栓;
2、独特取栓网篮支架结构有效作用于各类血栓;
3、大口径抽吸导管设计,强劲抽吸,可容纳大负荷血栓,搭配大口径负压专用抽吸器,抽吸效果强劲快速;
4、抽吸管采用管体多段式结构设计,完美平衡推送性和柔顺性;
5、快速开通血管,即刻改善症状,手术时间短,术后恢复快。

郭振平
内蒙古医科大学临床医学本科专业,现任鄂尔多斯市中心医院胸心血管外科科室主任,主任医师。
于1998年毕业于内蒙古医科大学临床医学本科,毕业后于鄂尔多斯市中心医院胸心血管外科工作。分别于2001年、2007年两次于北京阜外医院心血管病区进修学习。于2009年破格聘为科室副主任。于2012年4月去美国EMORY UNIVERSITY心脏中心参观学习心脏大血管手术2月。2014年荣获鄂尔多斯市青年技术骨干。本人擅长先心病、瓣膜病、冠心病的诊断及手术治疗,主动脉疾病包括主动脉夹层动脉瘤、腹主动脉瘤的腔内治疗,对周围动静脉疾病包括静脉曲张、深静脉血栓、动脉硬化闭塞症、糖尿病足等的治疗有独特的经验。对普胸外科手术如肺、食管、纵膈疾病治疗有丰富的经验。开展许多新技术新业务,杂交手术治疗胸腹主动脉瘤、下肢深静脉血栓‘一站式’治疗、Castor支架治疗累及锁骨下动脉主动脉夹层、大隐静脉曲张射频+硬化剂+点状剥脱、早期肺癌肺段切除等,担任内蒙古自治区医师协会胸外科分会第二届委员会委员、血管外科医师分会第二届委员会副会长、心血管外科医师分会第一届委员会常务委员,内蒙古医学会血管外科分会第四届委员会常务委员,内蒙古医师协会心血管外科医师分会第二届委员常务委员,中国微循环学会周围血管疾病专业委员会第三届委员会委员。曾发表论文10余篇。
殷春
鄂尔多斯市中心医院胸心血管外科,副主任医师。
2007年毕业于天津医科大学,长期从事心胸血管外科专业工作。2016年在上海中山医院血管外科进修,学习血管介入治疗手术操作。现任中国微循环血管学会委员亚太血管学术联盟内蒙古分会会员,内蒙古医学会血管外科分会委员,内蒙古医学会心脏大血管外科分会委员,内蒙古医师协会血管外科分会委员,内蒙古医师协会胸外科分会委员,鄂尔多斯市医学会介入放射治疗分会委员。擅长血管外科动静脉常见病、疑难病,如胸腹主动脉疾病,下肢静脉曲张,下肢深静脉血栓,颈动脉狭窄及外周血管其他疾病的诊治,发表多篇论文及参编多部专业著作,对血管外科介入及开放手术都有丰富经验。
王永
鄂尔多斯市中心医院血管外科副主任医师,硕士,毕业于中国医科大学血管外科。
鄂尔多斯市医学会介入放射学分会第一届委员会委员
内蒙古自治区医师协会心脏大血管外科 青年委员
内蒙古医学会血管外科分会 青年委员
内蒙古医师协会血管外科分会 青年委员
亚太血管学术联盟内蒙古分会主髂下肢动脉腔内介入治疗专委会委员
腾复医疗成立于2020年,是一家专注于肺血管及静脉介入医疗器械研发与产业化的国家级高新技术企业,总部位于上海。
公司致力于通过机械取栓技术为静脉血栓栓塞症(VTE)患者提供更安全、更有效的治疗方案。其核心产品包括Tendvia® 肺动脉取栓支架系统(国械注准20243031010)、Tendfast® 外周静脉取栓支架系统(国械注准20243032574)、肺动脉球囊扩张导管(国械注准20253030316)等一系列血管介入器械,目前均已在临床获得广泛应用。
公司立足医疗前沿,持续推进产品研发迭代,为临床实践提供更优解决方案,以优质的产品和完善的服务满足医患双方的临床需求。
Tel:021-52238812
E-mail: om@tendfo.com

