
来源:福能健康管理中心
整理:器械之家
西门子双源CT(SOMATOM Drive)——128排256层光子双源CT,拥有独一无二的光子扫描和低辐射量技术,比起常规CT来,具有“闪速”的扫描和绿色环保的强大优势。
双源CT在全国范围内装机量极少,包括众多知名三甲医院也尚无缘使用到这样一款高端产品。那么,它究竟有着怎样的过人之处呢?
最新技术引领CT发展的新纪元
SOMATOM Drive是西门子最新款的双源CT,在继承了前四代双源CT的各项先进技术的基础上,创造性的在精准影像、安全影像和智能影像方面提出了变革,引领了CT发展的新纪元。
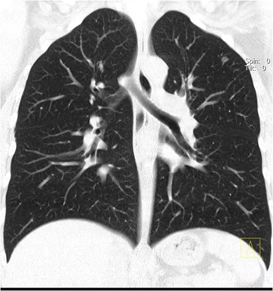
对于临床安全成像而言,SOMATOM Drive给出了新的解决方案。西门子独有的kV纯谱技术可以在一张胸片的辐射剂量下获得全肺的CT筛查图像,而Drive将这项技术扩展到了全身,所有天然对比度高的部位都可以在胸片级别的剂量下获得平扫的图像;尤其值得一提的是心肺一体化成像,使用SOMATOM Drive,可以在一次肺部平扫中,同时获得肺部肿瘤学信息和心血管的风险评估信息(双源CT提供了在一次心跳内完成心脏扫描的方法,从而实现高质量、低剂量冠脉成像)。
双源CT与螺旋CT相比有哪些特点
快
西门子双源CT(SOMATOM Drive)机架内置两套球管及探测器系统,可快速获得同一部位的组织结构形态,完成超高速扫描。普通CT完成一个部位的扫描需要几分钟,而双源CT不到3秒即可完成一个部位的扫描。
安
西门子双源CT(SOMATOM Drive)扫描速度极快,致使检查时间缩短(比如胸痛扫描方案用于检查肺栓塞、心肌梗塞、冠状动脉及主动脉。在一次心跳中,可以采集心脏和冠状血管的整个解剖结构),所以受检者所受的辐射剂量与普通CT相比更小。
精
西门子双源CT(SOMATOM Drive)搭载了全新的人工智能模块,首次实现了成像全流程的智能化自动化,可获得高质量、高清图像。
双源CT能查什么
高质量心脏冠脉成像
冠心病是危害人类健康的首要杀手,可靠的早期筛查及手术后复查极为重要。
传统的螺旋CT由于仅有一套X射线发生装置和一套探测器系统,所以在扫描高速运动物体时(比如冠状动脉)会显得力不从心。而双源CT系统能够以83毫秒(1000毫秒=1秒)的时间分辨率采集与心电图同步的心脏和冠状动脉图像。
西门子双源CT(SOMATOM Drive)机架内置两套球管及探测器系统,扫描速度比传统螺旋CT提高了一倍,可在一次心跳内完成心脏扫描,从而实现高质量、低辐射冠脉成像。可让高心率,心率不齐的患者快速完成心脏检查。
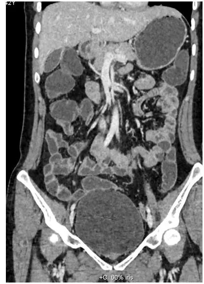
完成全身动脉检查仅需3秒
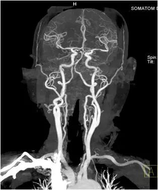
西门子双源CT(SOMATOM Drive)头颈部联合检查,扫描时间不到3秒,所得图像可清晰诊断颈部动脉及颅内动脉疾病。
胸部肺动脉扫描检查,扫描时间不到1秒,可以得到清晰的肺动脉图像,避免肺静脉干扰。
完成2米范围全身动脉扫描仅需3秒,即可得到清晰图像。
全新0兆球管可持续行大范围扫描,轻松应对双下肢动脉CTA检查。
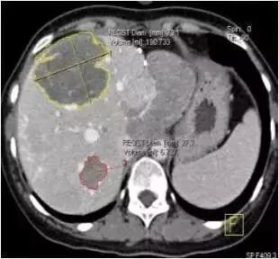
快速诊断肿瘤性质
西门子双源CT(SOMATOM Drive)肿瘤分割技术可对肺、肝、淋巴结以及其它各部位组织病灶实施一键式自动分割 ,自动测量,并且提供多种重要的肿瘤学参数。为检查定性,手术、放化疗前后效果提供可靠依据。
西门子CT提供包括BF、BV、TTS、TTP在内的多种灌注参数及图像,为临床诊断肿瘤性质,早期评估手术效果提供诊断依据。
高清全方位骨科检查
西门子双源CT(SOMATOM Drive)可以用于全方位骨科检查。最新ADMIRE基于原始数据域的迭代重建技术,不仅可以大幅降低图像噪声,还可以降低辐射剂量。
据了解,全球每分钟就有3位25~40岁的年轻人猝死,通常都是发病1小时内死亡。在中国,每年猝死的人数多达55万,其中2/3是没有相关病史的健康年轻人。导致猝死的两大“闪电杀手”分别为心梗和脑卒中,双源CT则可以专查此两大“杀手”。
双源CT检查适应症及对人体影响
双源CT辐射大吗?
双源CT可实现超高速扫描,扫描速度非常快,辐射剂量非常小。
造影剂有没有副作用?
目前认为造影剂在通常情况下相当安全。造影剂是通过肾脏代谢,对于肾功能正常人群来说,仅需检前检后增加饮水量即可。在日本进行的一项包括337,000多例的临床研究结果表明:造影剂严重反应的发生率都非常低,轻度不良反应的发生率也很低。因此,正常情况下使用造影剂不必有太大顾虑。
心脏冠脉CTA检查的适应症和禁忌症是什么?
⑴适应症
①易患冠脉疾病的高危人群,如高血压、糖尿病、高血脂、有冠脉疾病家族史及吸烟等危险因素者。
②运动心电图检查出现异常。
③不明原因胸痛。
④冠脉疾病患者但不愿意或不适宜行冠脉造影的定期随访患者。
⑤随访CAGB术后患者血管的通畅程度。
⑵禁忌症
①心率过快且β受体阻滞剂禁用者。
②心律不齐:不能采集到稳定的收缩期及舒张期心脏图像,故不能进行冠脉重建。
③硝酸甘油禁忌者:冠脉CTA需硝酸甘油扩血管,以更好显示冠脉,尤其是年龄相对较轻患者中可能抑制血管造影中类似狭窄的冠脉痉挛,如青光眼、严重贫血者等。
④不能自主呼吸者:呼吸运动伪影是冠脉CTA检查不成功的主要原因之一。因此,患者必须保持意识神志清楚,确保呼吸与扫描的良好配合。
⑤碘剂过敏者。
⑥失代偿性心功能不全、严重肝肾功能不全者及甲亢患者。
⑦妊娠期女性。
⑧因神经或精神类疾病不能配合指令者。
以上就是西门子双源CT(SOMATOM Drive)的各项过人之处了,它的投入使用,必将为患者带来更好的影像诊疗服务。如果大家有使用过双源CT的经验,可以在下方给我们留言分享。

点原文,更有料!

