
来源:筑医台资讯
在明尼阿波利斯一个寒冷的早晨,一名男子走进了明尼苏达大学磁共振研究中心。首先,他换上了一件医院长袍,然后一些工作人员走过来对他进行检查,确保没有携带任何金属,没有穿孔、戒指、金属植入物、起搏器等,接着他躺进了一根4米长的管子里,管子周围环绕着110吨磁铁和600吨铁屏蔽。
发生了什么事,他在做什么呢?
事实上,他正躺在一台用来扫描人体的超强核磁共振成像仪(MRI)中,研究人员将对他的臀部进行一小时的核磁成像,以测试这台仪器分辨率的极限。一个小时后,扫描结果呈现在电脑屏幕上,精细的分辨率清晰地展示出保护髋臼的极薄软骨的复杂细节。
这是这台10.5T超强MRI首次用于人体试验,其价值为1400万美元,重量相当于3架波音波音737飞机,磁力强度比临床使用的最强MRI高出50%,这也是世界上少数几家研究机构将MRI推向磁场强度极限的扫描仪之一。
近日,Nature官网头版头条推送了这篇名为《The world’s strongest MRI machines are pushing human imaging to new limits》的研究文章,介绍了世界超强MRI及其功能。
“这非常令人兴奋,也非常值得。”明尼苏达大学磁共振研究中心主任卡Kamil Ugurbil表示,在此之前他们曾花了4年的时间对动物进行测试,提高场强,2017年8月,FDA批准了这台MRI的人体试验,但直到12月才有第一名受试者正式接受测试。
目前,医院一般使用的是1.5T或3T的MRI。“MRI时代之初,许多科学家认为0.5T MRI是最大的磁场强度。”美国国家高磁场实验室研究员Victor Schepkin说道。
20世纪80年代
然而在20世纪80年代,出现了1.5T的临床MRI;
2002年
3T MRI获得了批准,而事实上,在这之前,研究人员就一直在努力提高磁场强度——第一批7T 研究用MRI于1999年就已问世。目前,世界各地的研究实验室已经有数十台7T的MRI;
2017年
第一台7T MRI在美国和欧洲被批准用于临床。而超过10T的超强MRI,除了明尼苏达的这台10.5TMRI,全球还有两台11.7T MRI,一台在法国巴黎的Neuro Spin Centre,一台在美国马里兰州Bethesda的NIH。
目前,NIH的那台正在等待维修回送——据说是因为工作人员开关机速度太快,导致机器过热,破坏了某些线路,明年才能修好,而法国的那台则是去年5月完成发货,预计2022年用于扫描人体。除此之外,德国、韩国和中国也在计划造14T的扫人MRI。
为什么要追求更高的磁力强度?这些超强MRI有什么优势呢?
优势显而易见。自上世纪70年代中期第一台人用MRI问世以来,核磁共振技术的基本原理并没有多大变化,其技术核心仍然是管状超导磁体,产生静电磁场。磁场越强,信噪比越大,这意味着物体可以在更高的分辨率下成像,或在相同的分辨率时成像速度更快。
♥
1
分辨率超高
对比来说,在3T时,MRI可以解析小至1毫米的大脑细节;7T时,分辨率可以精确到0.5毫米,足以识别人类大脑皮层内的功能单元,或许还能看到信息如何在人脑中的神经元集合之间流动;而具有更高场强度的MRI预计将具有至少两倍于7T仪器的分辨率。
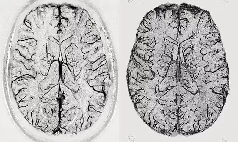
普通 3T MRI扫描(左)统与德国马克斯普朗克研究所的9.4TMRI扫描(右)统一大脑断面的效果——显然右边9.4T的机器扫出来细节丰满得多。
Credit:Rolf Pohmann/Max-Planck-Institute for Biological Cybernetics
♥
2
技术要求更高
当然,更高磁力强度意味着仪器更贵、技术及安全要求更高,不过这是值得的。研究人员表示,除了这些10T左右的超级机器,在全球范围内,7T MRI已经在临床上使用了一段时间,其显像级别可以达到开放式外科手术探查的效果,并且在神经科学和临床应用领域取得了相当大的进展。
♥
3
诊断更精确
临床医生可以更准确地指导电极进行脑深部刺激治疗,比如可以更早地发现骨关节炎,再比如可以对帕金森病进行治疗,MRI还可用来帮助外科医生定位电极,但使用1.5T或3T MRI指导植入电极时,有时会不准确,这种试探性操作可能撞击血管导致出血,而7T MRI可以消除这些干扰,一步到位。
7T MRI的扫描成像也能帮助观测多发性硬化症(MS)的认知症状,加拿大伦敦西大学罗巴特研究所神经成像科学家Ravi Menon表示,有很多MS患者表示他们有过类似注意缺陷多动障碍的症状 ,通过使用7T MRI,Menon的研究小组已经能够在以前没有观察到的区域发现病变 ,“这在过去是很难观测到的”。
另外,超强MRI还能呈现一些以往只能在经过强显微镜成像的超薄切片尸检样本中看到的细节,7T已经通过揭示小于1毫米的结构,打开了一扇观察活脑的新窗口。德国普朗克生物控制论研究所磁共振中心主任Klaus Scheffler说道:“在7T下你不用打开大脑就能看到所有的细节”。
♥
4
功能更智能
7T时的核磁共振扫描还能更好地检测大脑的连通性。Ugurbil表示,他们比在3T时检测到更多的神经网络和神经元之间的连接,“这对预测或研究人类疾病而言非常有意义。”
在已被揭示的仅3毫米厚的大脑皮层中共有6层结构,7T MRI使研究人员能够测量不同层次的相对活动,进一步揭示信息是如何传播的。 “这是一个巨大的进步,” Menon说道,“通常情况下,我们只知道A和B是相连的,但并不清楚信息是如何在两者之间流动的。”
一些研究小组已经开始利用7T MRI的这种能力来分析人们的语言交流和行为活动,研究结果揭示了不同层次的活动是如何改变大脑皮层不同区域的。“例如,A区域不是仅负责视力,它还受到注意力、情绪、记忆等的调节,” Menon说道,“在动物模型中,这类问题极难解答,因为动物显然不会以人类的方式思考或言语,”现在,通过对人类的7T扫描分析,“一幅人类记忆的图像正在逐渐形成,而这在以前是无法做到的。”
超强MRI在带来超精细分辨率的同时,也带来了一定的挑战。
首先,它使扫描仪对最轻微的运动也高度敏感,一些由呼吸或心跳引起的身体重复运动可以被模拟去除,不过Menon表示,在7T及以上的仪器中,最大的挑战在于颅骨内大脑的不自主运动,这在低分辨率MRI中是不存在的。
“如果我在扫描仪里伸展我的脚趾,我的大脑就会移动,因为我的脚趾通过脊髓连接了大脑。”并且由于心脏的跳动,大脑会“在半毫米到一毫米的范围内”搏动。目前研究人员正在努力解决这些问题。
其次,从3T到7T的转变也会带来了一些生物学上的副作用,虽然是暂时的,但也是明显的。研究人员表示,当人们进出MRI时,可能会感到眩晕,而在机器里的时候可能嘴里会出现金属的味道,眼睛看到白光或经历不自主的眼球震颤。
另外,这些机器产生的热量可能更成问题。一些研究人员推测,14T以上的MRI操作可能会导致神经传导减慢,刺激周围神经或损伤DNA。不过Schepkin表示,到目前为止他还没有在动物身上看到这些反应,即使是21.1 T强度下。
同时,Scheffler还认为,在某一时刻,场强会有一个极限,而超过这个极限,就不可能不伤害身体,“我不认为我们能永远走得越来越高。”
目前,世界上最强大的MRI位于美国国家高磁场实验室,即21.1T,不过其内部空间直径只有10.5厘米,无法在人身上使用,研究人员使用它来研究大鼠脑肿瘤中钠的浓度,以探究其与肿瘤化疗抵抗度之间的关系。

点原文,更有料!

