
2023年4月11日,全球领先的医疗技术公司BD医疗(纽约证券交易所代码:BDX)宣布推出了一款新的超声设备——BD Prevue™ II外周血管通路系统,以帮助临床医生在静脉插管过程中实现最佳效果。
# 关于BD Prevue™ II外周血管通路系统
BD Prevue™ II外周血管通路系统(Prevue™ II peripheral vascular access system)是BD推出的新的超声设备,通过实时针头深度标记来辅助静脉插管。
除了特殊的探针之外,BD Prevue™ II系统还配备了BD Cue™针头追踪系统,可以为针头的轨迹提供高质量的超声图像。模拟研究显示,将针头追踪系统与超声引导相结合,有助于减少静脉插管的次数和成功进入血管的时间。美国超声医学协会称,这可能使血管通路操作对临床医生和患者更加安全和便利。
"患有慢性疾病如心力衰竭的患者,可能因为循环不良和频繁静脉通路造成的大量瘢痕组织,这使他们的静脉难以被定位和穿刺,因而在放置持久的外周静脉导管时往往面临挑战。" 位于俄克拉荷马城的INTEGRIS健康浸信会医疗中心的渐进性心脏护理病房的护士长Lisa Wilson说道,“通过超声引导技术,我们能够在难以穿刺的患者身上迅速且成功地放置静脉插管,从而实现更快的治疗,减少患者的穿刺次数,让所有参与者都有更好的体验。”
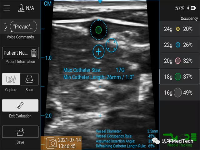
Prevue™ II系统可以通过集成的BD Cue™针头追踪系统,让医生可以在屏幕上通过虚拟的针头运动轨迹将针头与血管对齐。据称,使用针头追踪系统与超声结合比只使用超声更容易插管。
Prevue™ II系统具有创新的血管评估工具,可以帮助临床医生根据插入位置和角度来选择合适的导管长度和规格。
Prevue™ II系统具有内置的培训教程,临床医生可以在学习如何使用该设备的同时直接使用该设备,以增长临床经验。
Prevue™ II系统可与多个外接设备兼容,例如线性探头、Trophon(超声消毒设备)。同时,BD Prevue™ II系统重量轻,配备手指握把,方便医生使用。
Prevue™ II系统拥有特殊设计的探头,探头的宽底部提供了稳定性,更便于医生控制血管压缩和针对性的导管插入。
Prevue™ II系统的移动支架上装有一个悬臂,可以将超声屏幕调整到合适高度,使医生使用设备时视野更清晰。
# BD医疗的未来愿景
作为全球领先的血管通路解决方案提供商,BD致力于推动静脉注射和抽血的护理标准,为患者和医疗保健提供者提供更好的护理。BD Prevue™ II系统的推出进一步推动了BD的 “One-Stick Hospital Stay” 的愿景:暨通过选择合适的血管通路设备并在第一次放置时成功穿刺,从而减少不必要的穿刺次数。
Prevue™ II系统是实现该愿景的支柱之一,除此之外还应包括:使用同一根静脉线作为治疗和抽血的单一通道,并对静脉线进行优化维护,以减少并发症的风险,使其持久耐用,在患者住院期间不需要更换,且持久耐用。
“今天,静脉内插管的困难情况仍然十分常见,但BD Prevue™ II系统的问世描绘了一个未来,在这个未来中,每一次穿刺都有一个预定义的路径,以支持实现成功放置。” BD药物输送解决方案全球总裁Eric Borin表示,“BD正在推动‘One-Stick Hospital Stay’的愿景,而首次穿刺成功是实现这一愿景的第一步。首次穿刺的成功还能减少患者经历多次静脉内插管的疼痛和焦虑,同时提高临床医生提供静脉内插管的效率和信心。”

BD是全球最大的医疗技术及医疗设备公司之一,目前在全世界50多个国家和地区设有分支办事机构、研发中心和制造工厂,业务遍及世界六大洲,员工超过50000人。BD通过改善医学发现、诊断和护理服务来推进全球健康,在患者和医护人员安全以及推动医学研究和临床实验室研究成果转化方面处于领先地位
【声明】部分文章和信息来源于互联网,不代表本订阅号赞同其观点和对其真实性负责。如转载内容涉及版权等问题,请立即与我们联系,我们将迅速采取适当措施。

