
来源:器械之家
病毒核酸检测无疑是确诊新冠状肺炎的“金标准”,不过肺部疾病诊断治疗中非常关键的CT在这场疫情中也同样发挥着巨大作用。当地时间2月24日,《柳叶刀》(The Lancet)子刊《柳叶刀-传染病》(Lancet Infectious Diseases)在线发表了华中科技大学同济医学院附属协和医院放射科和武汉市金银潭医院放射科联合团队的研究论文“武汉81例新冠肺炎的影像学表现:一项描述性研究”。
该联合团队首次对新冠肺炎患者肺部影像学的演变进行了系统性的充分表征,这篇论文也是目前在知名期刊上发表的第一篇新冠肺炎大样本影像学表现研究文章。研究回顾分析武汉协和医院和武汉金银潭医院两家医院经核酸检测确诊新冠肺炎肺炎的81例患者的CT影像资料。旨在描述新冠肺炎患者在病程不同阶段的CT特征,为临床早期诊断提供参考。
论文通讯作者为华中科技大学同济医学院附属协和医院放射科主任兼介入科主任郑传胜、武汉金银潭医院放射科主任樊艳青。武汉协和医院放射科史河水教授为该文的第一作者,该院韩小雨硕士和蒋南川医师为共同第一作者。
作者们的实际经验得出,新冠肺炎的影像学特征是多样的,从表面正常到弥漫性均有。此外,在疾病发展过程中的不同阶段会获得不同的影像学结果。作者们提及,在最初的新冠肺炎患者中,从刚发病到发展为急性呼吸窘迫综合征(ARDS)最短仅为9天。因此,及早识别这些患者非常关键。
纳入研究的81例患者于2019年12月20日至2020年1月23日住院。31例(38%)直接暴露于华南海鲜市场,15例(19%)是和新冠肺炎患者有近距离接触的医护人员,7例(9%)家庭聚集性,其余28例(35%)没有明确的接触史。
81例患者根据发病与CT扫描时间间隔将患者分组:第1组15例(亚临床期患者;症状出现前CT检查)、第2组21例(症状出现1周内CT检查)、第3组30例(症状出现超过1周不足2周内CT检查)和第4组15例(症状出现超过2周不足3周内CT检查)。
武汉协和医院的CT资料由史河水和韩小雨负责,史河水是一名具有30年经验的资深胸部放射科医生,韩小雨是一名有4年解读胸部CT影像经验的放射科住院医师。武汉金银潭医院CT资料的两名读片医生则均较为资深,樊艳青有12年经验,蒋南川有10年经验。
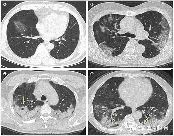
(A)56岁男性,发病第3天;(B)74岁女性,发病第10天;(C)61岁女性,发病第20天;(D)63岁女性,发病第17天。
研究结果显示,81例患者中,男性42例(52%),女性39例(48%)。平均年龄49.5岁。四组患者在年龄、性别和基础疾病上无显著统计学差异。
CT上81例均呈现异常,肺部病变平均累及10.5肺段。其中第1组2.8肺段,第2组11.1肺段,第3组13.0肺段,第4组12.1肺段。人体的肺部共有5个肺叶,左肺有上下2个肺叶,右肺有上中下3个肺叶,每个肺叶又可以细分到肺段(lung segments),左、右肺通常分别有10个支气管肺段。
该研究发现,新冠肺炎主要CT表现为双侧(64,79%)、肺外周分布为主(44,54%)以及边界不清(66,81%)磨玻璃影(53,65%),多累及右肺下叶(225/849,27%)。
第1组(n=15)主要表现为单侧(9,60%,)、多中心(8,53%)磨玻璃影(14,93%)。第2组(n=21)病变多为双侧(19,90%)、弥漫性(11,52%)磨玻璃影(17,81%)。此后,磨玻璃影持续减少(第3组17/30,57%;第4组5/15,33%),实变和混合型病变为第3组、第4组患者的主要CT表现(第3组12/30,40%;第4组8/15,53%)。
总体而言,新冠肺炎患者的胸部CT显示肺浸润性病变,甚至出现在无症状患者中。发病1-3周内,病变迅速从单侧、局灶性病变进展为双肺弥漫性磨玻璃影,后期合并实变。
研究团队认为,这项研究显示,结合影像学与临床及实验室检查,有助于新冠肺炎患者的早期诊断。
值得一提的是,上述论文发表的同期,香港大学李嘉诚医学院放射科Elaine Y P Lee等人也在《柳叶刀-传染病》发表了评论文章“新冠肺炎:CT告诉我们什么?”。该评论文章肯定了郑传胜团队关于新冠肺炎患者在病程不同阶段CT特征的大样本研究成果,认为该研究为患者临床症状开始时CT的演变过程提供了间接证据。
评论文章中提到,这一发现表明,CT是检测新冠肺炎的一种敏感方式,即使在无症状的个体中也是如此。当患者有明确的旅行史或者与确诊患者有过密切接触时,CT可以与核酸检测一起作为筛查工具。
值得一提的是,对一小部分核酸检测结果呈假阴性的患者中,CT检测可能尤其重要。
参考文献:
Radiological findings from 81 patients with COVID-19 pneumonia in Wuhan,China:a descriptive study
DOI: 10.1016/S1473-3099(20)30086-4


点原文,更有料!

