
2024年5月6日,GE医疗(Nasdaq: GEHC)推出了用于神经科学应用的Signa Magnus 头部磁共振 (MR) 扫描仪。该产品目前正在申请FDA 510(k)批准。

梯度系统被誉为磁共振设备的“发动机”,而微脑成像对于磁共振平台的梯度性能有着极高的要求。随着成像维度的深入,全身型的磁共振设计极大的制约了微脑成像“梯度发动机”的高速发展。
为了达到极致的梯度性能,神经专用科研型磁共振概念被提出。该设计颠覆了传统全身型磁共振的设计思路,能够提供给梯度线圈更多的物理空间来提高性能,同时显著的降低给病人带来的外周神经刺。
然而,创新的设计意味着更多的挑战,如梯度性能与涡流的平衡、偏中心设计的性能指标、洛伦兹力震动的消除等等,目前行业内还没有形成真正能够落地临床科研的解决方案。
GE医疗经过多年的设计与测试实践,在NIH合作项目的支持下,率先实现了首个微脑成像专用磁共振平台的开发,全新非对称式神经专用梯度设计为极致梯度性能的落地奠定了基础。
# SIGNA MAGNUS微脑成像平台
SIGNA MAGNUS专为神经学和肿瘤学研究而设计,用于头部成像,提供更具细节和清晰度的图像,可深入探索大脑微观结构、微血管及功能。
采用颠覆式的神经专用系统设计,实现了300/750极致梯度性能,是当前全身型磁共振梯度性能的四倍。
该系统已经递交了FDA申请,未来将成为首款应用于临床的微脑成像专用平台。
SIGNA MAGNUS在新加坡举办的2024 ISMRM(国际磁共振医学学会)年会上展出
1. 采用多层的非对称梯度设计和HyperG梯度技术,具有增强的弥散性能,可达300mT/m梯度场强和750mT/m/s梯度切换率,实现极高的b值弥散和短回波时间(TEs),检测到以前无法发现的大脑复杂细节。
2. 采用了自屏蔽梯度设计,在主梯度线圈外,额外增加了一层自屏蔽层来隔离梯度线圈外的磁场干扰。
3. 采用91cm的全能长磁体设计,具备高磁场均匀度的同时给予梯度线圈较大的工作空间。
4. 三轴均采用中空内冷设计,采用全新的冷却回路设计,优化了压力以及流量的特性,对梯度线圈进行冷却。
SIGNA MAGNUS实现了梯度性能的大幅跃迁,实现了目前业内唯一的300mT/m梯度场强以及750T/m/s梯度切换率,为微脑成像提供重要的物理硬件基础。
SIGNA MAGNUS专为神经学和肿瘤学研究而设计,用于头部成像,提供更具细节和清晰度的图像,可深入探索大脑微观结构、微血管及功能。
研究人员可以充分利用SIGNA MAGNUS来突破结构、弥散和功能技术方面的限制,并通过GE医疗提供的最新深度学习算法进行进一步研究,有助于发现新的参数和生物标志物。
此外,许多GE HealthCare 3.0T系统可以升级到Signa Magnus,帮助客户节省资本成本。三月份布莱根妇女医院安装了该研究系统,GE医疗希望与医院合作开展高性能神经磁共振研究。
# 实际应用

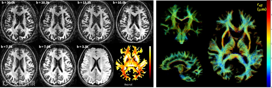
微脑解析:基于SIGNA MAGNUS平台,高梯度场强切换率性能下,使用超高30000B值弥散成像,大幅剔除小轴突测量中不同伪影因素的影响,成功对微脑损伤患者进行了1μm及以下的轴突直径进行解析显示,为微脑的损伤以及机制研究带来全新的临床研究尺度。
类淋巴系统可视化:脑类淋巴系统清除功能受损,可能导致并加重病理性毒性蛋白的沉积,诱发或加剧AD,PD等退行性病变的症状。类淋巴系统类似微循环系统,流动交换速率约为0.1-5mm/s,流速极慢难以捕捉信号。
在GE医疗与犹他州立大学的合作中,利用SIGNA MAGNUS成功绘制出全脑的类淋巴通路,并且证实了结果与痴呆电生理结果的吻合性,为微脑疾病的研究提供了全新思路。
GE医疗官网信息显示,美国爱荷华大学神经放射学系MR研究中心主任、放射学教授Vincent Magnotta博士表示:
“使用MAGNUS梯度可将b值提升到30000甚至更高。此外,SIGNA MAGNUS采用91cm长磁体设计,给予梯度线圈较大工作空间,同时三轴均使用中空内冷,优化了压力以及流量的特性。”
GE 医疗MR 首席执行官 Kelly Londy:
“通过 Signa Magnus,我们不仅仅是探索提供该工具的可能性;更是探索提供该工具的可能性。我们正在为医学研究和未来临床患者护理树立新的基准。
这项创新强调了我们对研发的承诺以及我们与学术界的合作,突破了 MR 成像的可能性界限。Signa Magnus 对患者治疗结果和我们对人类大脑的理解的潜在影响是深远的。”
# 关于GE Healthcare
GE医疗致力于成为全球领先的医疗科技、诊断药物和数字化解决方案的创新者,通过提供整合解决方案、服务、数据分析,使医院运营更高效、临床诊断更有效、治疗方法更精准、患者更健康和幸福。
在服务患者和医疗机构的100多年中,GE医疗持续推进个性化、互联互通和更富同理心的医疗关爱,同时简化患者诊疗流程。GE医疗的医学影像、超声、生命关爱和诊断药物业务覆盖从诊断、治疗到监护各环节的医疗关爱。
GE医疗于2023年1月在美国纳斯达克股票交易所上市。公司业务遍及160多个国家和地区,年营收超196亿美元,全球51,000名员工。