里岔黒豚のクローン成功に続き、青島農業大学のクローン技術に新たな進展があった。同大学が19日に明らかにしたところによると、同大学哺乳類体細胞クローン基地で、健康で元気な茶白猫が誕生。この猫は、中国初の全フローで国産の設備、試薬、消耗品を使い育てられた体細胞クローン猫で、中国が動物クローン分野で完全な産業チェーンを擁していることを示している。

今回誕生したクローン猫は141グラムのオスの茶白猫で、代理出産メス猫が妊娠69日後に自然分娩で出産した。同大学生命科学学院の趙明輝准教授は、「猫の体細胞クローンは設備、試薬、消耗品に対する要求がより高く、より精密な操作が必要になる。今回のクローン猫の順調な誕生は、中国の動物クローン技術分野の重要な進展であるだけでなく、中国の先端設備製造、精密加工、化学工業の急発展の縮図でもある」と説明した。
同研究は2020年に始まった。その年、趙氏は研究チームを率いて豚の体細胞クローンを行う際に、輸入薬品の性能が不安定になる場合が頻繁に現れ、それで実験に何度も問題が生じることに気づいた。チームはその時から国産の動物体細胞クローン関連試薬の開発を開始。度重なる実験と選別を経て、チームは今年6月に国産試薬の開発をほぼ完了した。

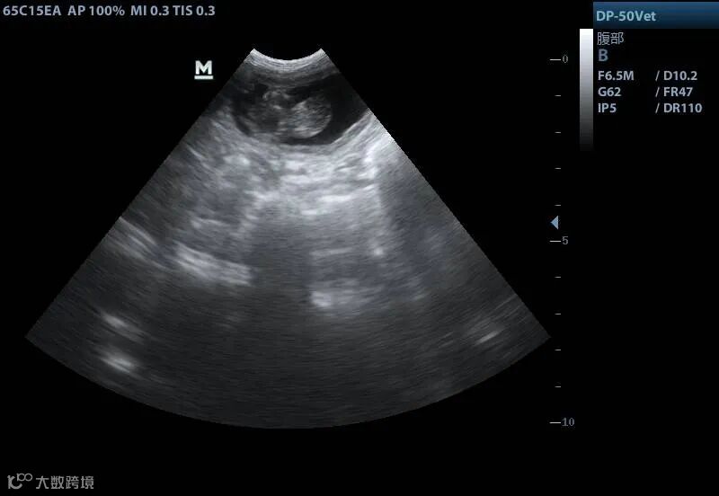
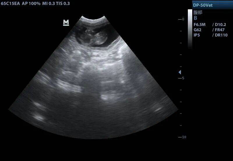
妊娠中の代理出産メス猫の超音波画像。画像提供は青島農業大学
研究チームは中国で複数回にわたり、クローン中核設備であるマイクロマニピュレーター及び融合装置の製造メーカーを視察し、最終的に広州市のある装置メーカーと協力関係を結んだ。同メーカーは研究チームの意見に基づきマイクロマニピュレーター及び融合装置の改善を続け、最終的に技術的ニーズを満たした。国産設備及び試薬によるサポートを受け、中国初の全フロー国産化育成のクローン猫が順調に誕生した。
おススメ
本微信号内容均为人民网日文版独家稿件
转载请标注

